症例名 上顎前突(出っ歯)+開咬(オープンバイト)症例の症例一覧
上顎前突(出っ歯)+開咬(オープンバイト)症例
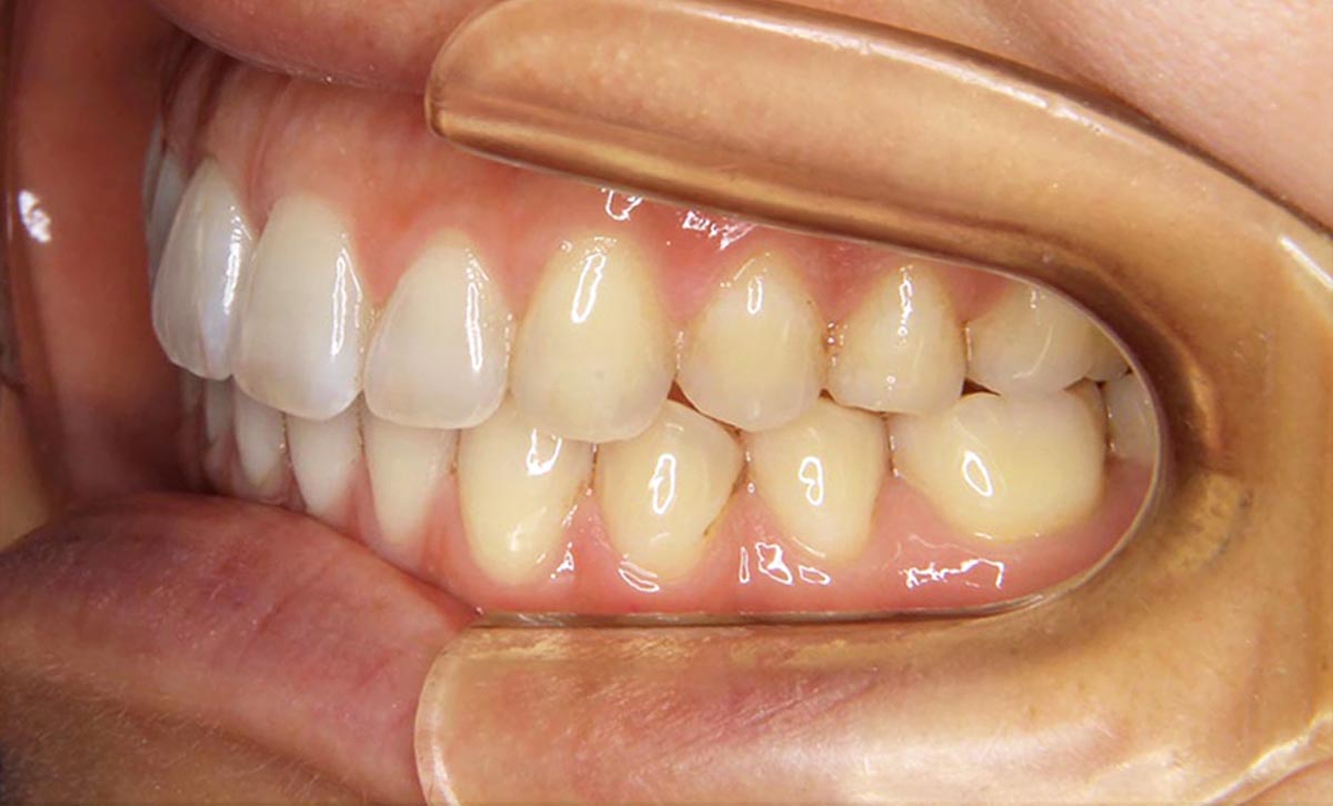
上顎前突(出っ歯)+開咬(オープンバイト)症例 37歳女性
●主訴
出っ歯が気になる
●診断
AngleⅠ級・開咬
●治療に用いた主な装置
上顎にリンガルブラケット矯正装置、下顎にマルチブラケット装置(ハーフリンガル)
●抜歯部位
上顎左右第一小臼歯2本
●治療期間
2年2ヶ月
●治療費用
約127万円(ともに税込、調整費、保定費まで含む総額制)
●付記
舌癖により、前歯が前方に押し出されてしまっていたので、舌の訓練をしっかりしてから矯正に入りました。
リスクとして、
① 歯を動かすことにより歯根が吸収して短くなることがあります。
② 様々な問題により、当初予定した治療計画を変更する可能性があります。
③ 装置が外れた後、保定装置を指示通り使用しないと後戻りが生じる可能性が高くなります。
上顎前突(出っ歯)+開咬(オープンバイト)症例
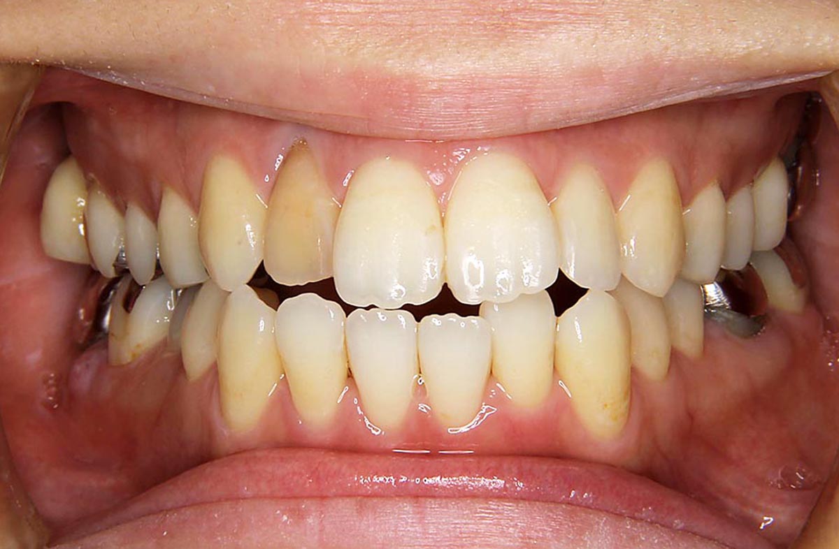
上顎前突(出っ歯)+開咬(オープンバイト)症例 41歳女性
●主訴
前歯が咬まないのが気になる
●診断
前歯部開咬
●治療に用いた主な装置
マウスピース型矯正装置
●抜歯
非抜歯
●費用
約102万円(ともに税込、調整費、保定費まで含む総額制)
●期間
2年
●付記
舌で上前歯を押す癖があったので、上前歯が出っ歯になり、前歯が咬み合わないオープンバイトでした。
まずは舌突出癖の訓練をしてからマウスピース型矯正装置で取り外し可能な矯正を行いました。
リスクとしては、
マウスピースをはめないと治らないという事と、舌で歯を押す癖が残っていいるとあともどりする事です。












