下顎前突(反対咬合)症例の症例一覧
下顎前突(反対咬合)症例
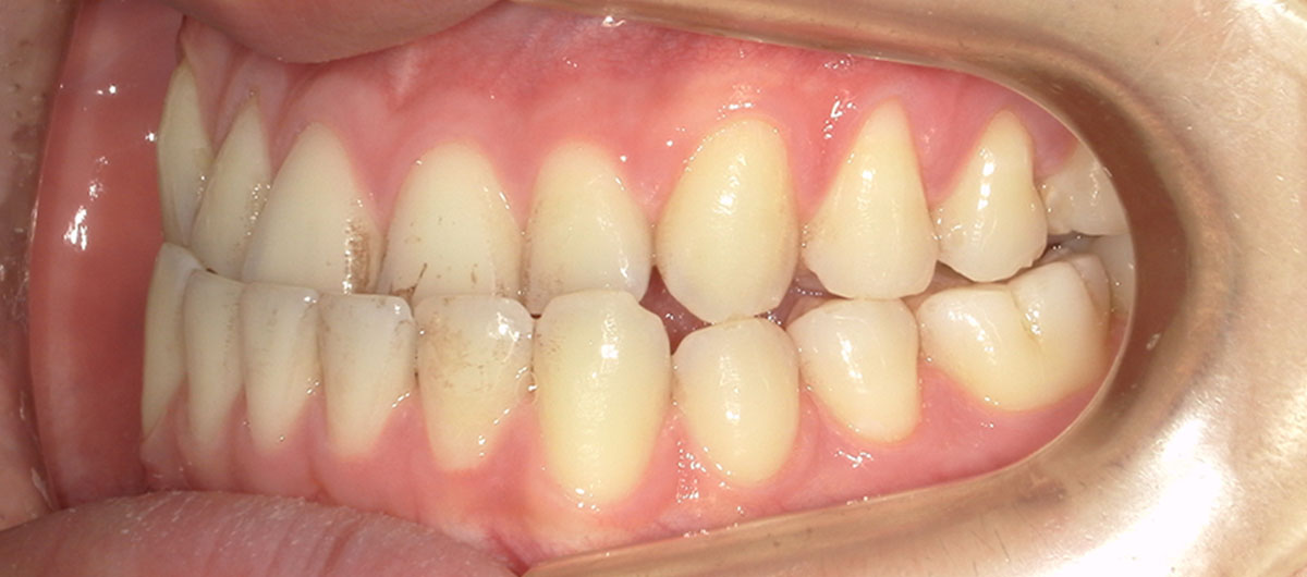
下顎前突(反対咬合)症例 16歳男性
●主訴
反対咬合
●診断
AngleⅢ級・骨格性下顎前突
●治療に用いた主な装置
上下表側矯正装置
●抜歯部位
上下左右親不知(第3大臼歯)抜歯
●治療期間
2年4ヶ月
●治療費用
約113万円(ともに税込、調整費、保定費まで含む総額制)
●付記
下顎の親不知を抜いてアンカースクリューで、下顎歯列を奥へ移動させました。
リスクとして舌で下の前歯を押すと後戻る可能性があります。
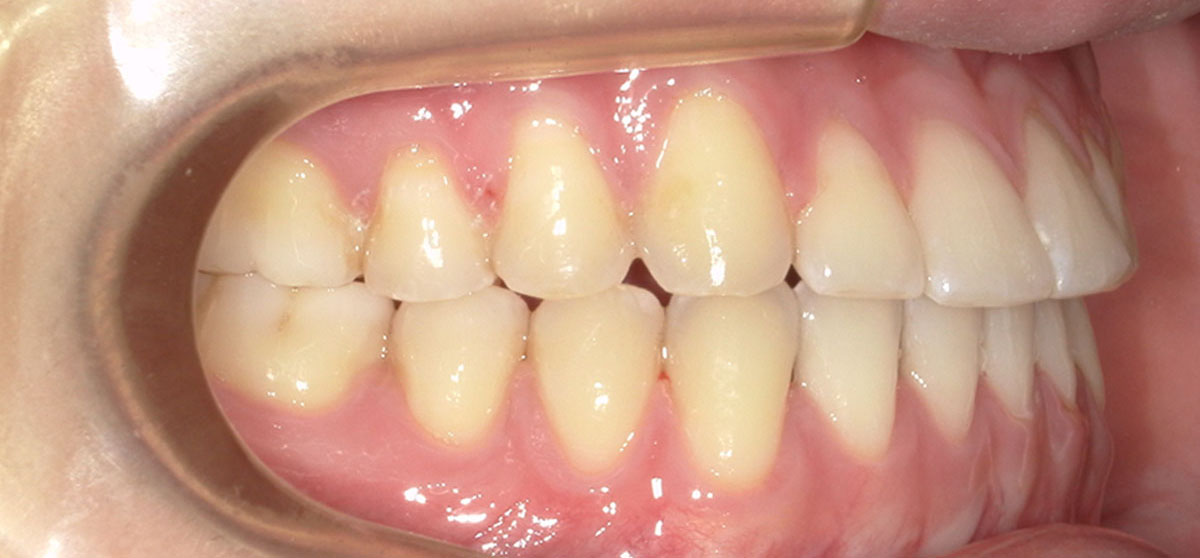
治療例 Case






●主訴
反対咬合
●診断
AngleⅢ級・骨格性下顎前突
●治療に用いた主な装置
上下表側矯正装置
●抜歯部位
上下左右親不知(第3大臼歯)抜歯
●治療期間
2年4ヶ月
●治療費用
約113万円(ともに税込、調整費、保定費まで含む総額制)