症例名 上顎前突(出っ歯)+叢生(デコボコ)症例の症例一覧
上顎前突(出っ歯)+叢生(デコボコ)症例
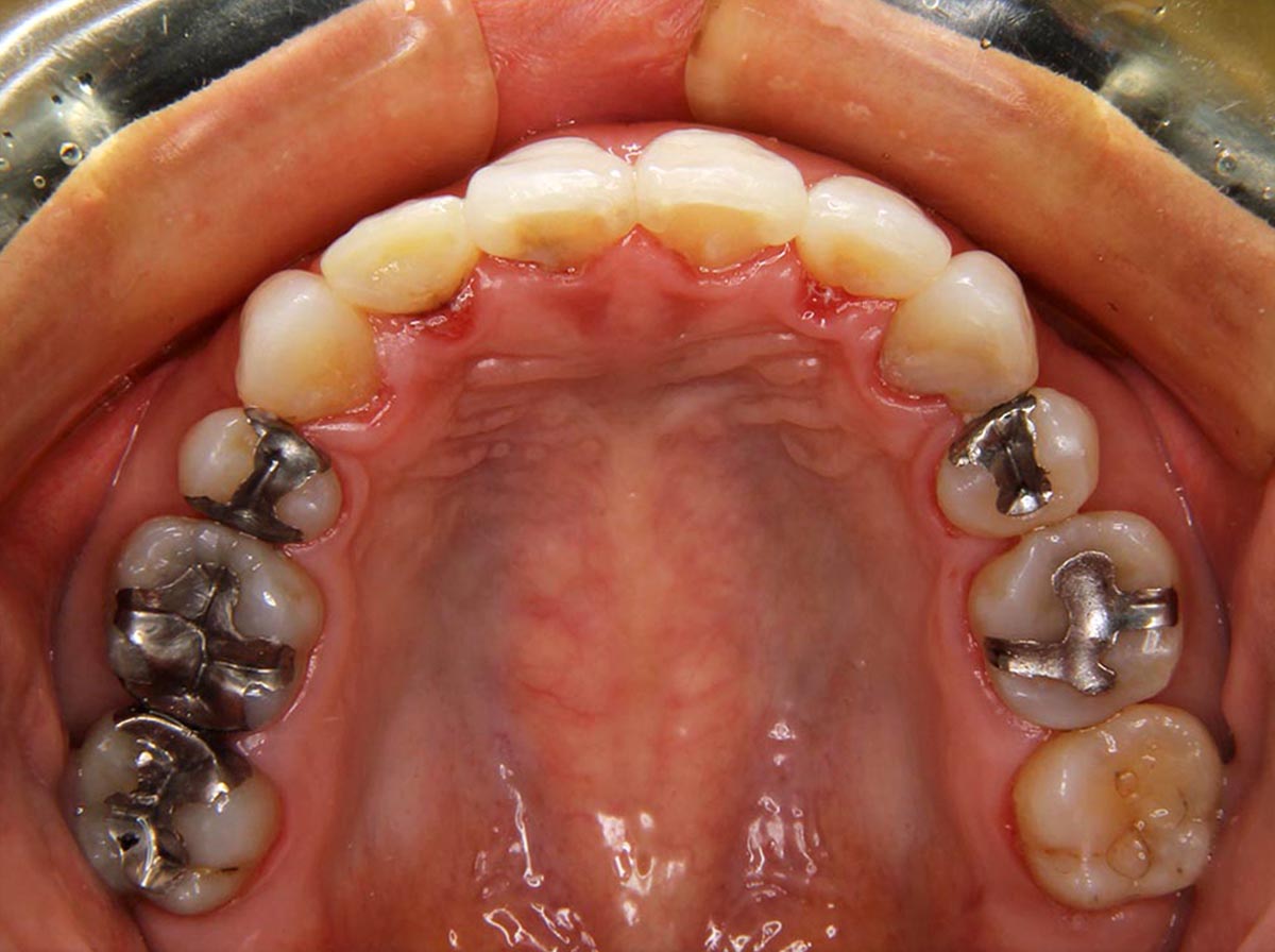
上顎前突(出っ歯)+叢生(デコボコ)症例 19歳女性
●主訴
歯のデコボコと歯が出ているのが気になる
●診断
AngleⅡ級・前歯部叢生
●治療に用いた主な装置
上下顎にマルチブラケット装置(表側装置)
●抜歯部位
上顎左右第一小臼歯2本
●治療期間
2年3ヶ月
●治療費用
約107万円(ともに税込、調整費、保定費まで含む総額制)
●付記
デコボコと出っ歯、さらに開咬の患者様です。
舌訓練をして上顎のみ抜歯して矯正をしました。
リスクとして、
① 歯を動かすことにより歯根が吸収して短くなることがあります。
② 様々な問題により、当初予定した治療計画を変更する可能性があります。
③ 装置が外れた後、保定装置を指示通り使用しないと後戻りが生じる可能性が高くなります。
上顎前突(出っ歯)+叢生(デコボコ)症例
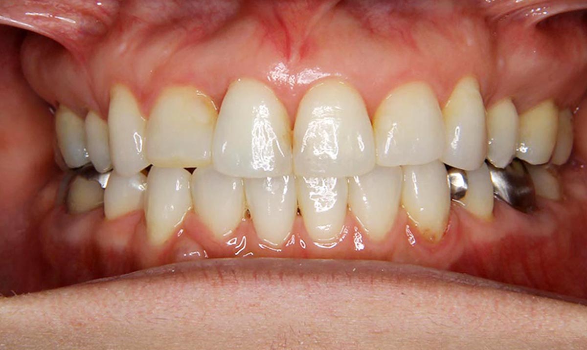
上顎前突(出っ歯)+デコボコ症例 45歳女性
●主訴
歯のデコボコが気になる
●診断
上下顎前歯部叢生
●治療に用いた主な装置
上下顎にリンガルブラケット矯正装置(フルリンガル)
●抜歯部位
上下顎左右第一小臼歯4本
●治療期間
2年7ヶ月
●治療費用
約129万円(ともに税込、調整費、保定費まで含む総額制)
●付記
デコボコ量が大きく前歯も出ていたので、抜歯治療になりました。
くいしばりや舌癖もありましたので、同時に指導しています。
リスクとしては、
あともどりがありますのでしっかりリテーナーを入れて保定する必要があります。












