症例名 開咬(オープンバイト)の症例一覧
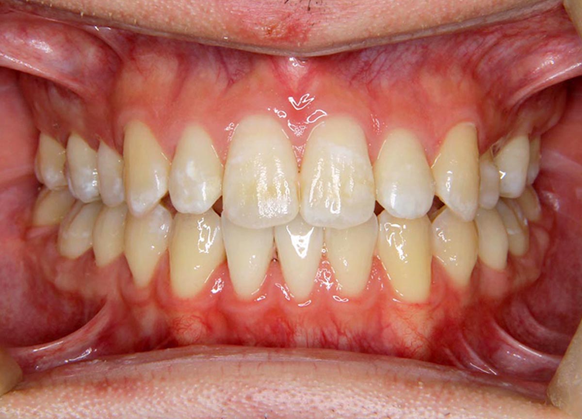
開咬(オープンバイト)症例
●主訴
歯のデコボコが気になる
●診断
AngleⅡ級・前歯部開咬
●治療に用いた主な装置
上顎にリンガルブラケット矯正装置、下顎にマルチブラケット装置(ハーフリンガル)
●抜歯部位
上顎左右第一小臼歯2本、下顎側切歯1本
●治療期間
3年4ヶ月
●治療費用
約129万円(ともに税込、調整費、保定費まで含む総額制)
●付記
上顎前突・デコボコ・開咬と不正咬合が重なる難ケースであったため、少し治療期間がかかりました。
① 歯を動かすことにより歯根が吸収して短くなることがあります。
② 様々な問題により、当初予定した治療計画を変更する可能性があります。
③ 装置が外れた後、保定装置を指示通り使用しないと後戻りが生じる可能性が高くなります。
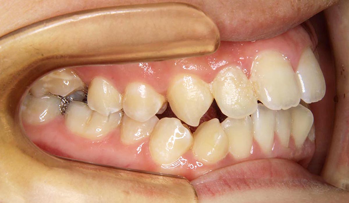
開咬(オープンバイト)症例
●主訴
出っ歯と歯のデコボコが気になる
●診断
AngleⅡ級・叢生を伴う開咬症例
●治療に用いた主な装置
上下顎ともにマルチブラケット装置(表側装置)
●抜歯部位
上顎左右第一小臼歯2本、下顎側切歯1本
●治療期間
2年6ヶ月
●治療費用
約107万円(ともに税込、調整費、保定費まで含む総額制)
●付記
デコボコ、出っ歯、開咬と様々な不正が重なる症例でした。
リスクとして、
①歯の動き方には個人差があります。そのため、予想された治療期間が延長する可能性があります。
②治療中に「顎関節で音が鳴る、あごが痛い、口が開けにくい」などの顎関節症状が出ることがあり ます。
③装置が外れた後、保定装置を指示通り使用しないと後戻りが生じる可能性が高くなります。
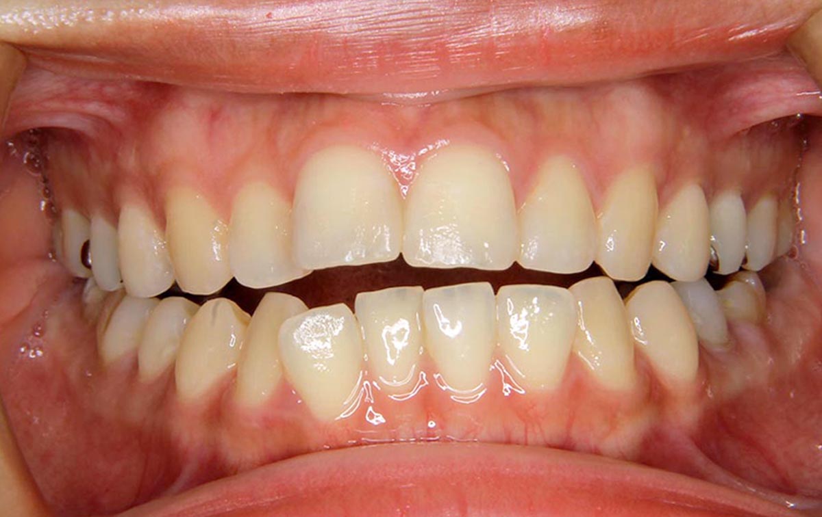
開咬(オープンバイト)症例
●主訴
歯のデコボコが気になる
●診断
AngleⅢ級・前歯部開咬
●治療に用いた主な装置
上顎にリンガルブラケット矯正装置、下顎にマルチブラケット装置(ハーフリンガル)
●抜歯部位
上下左右第一小臼歯
●治療期間
2年6ヶ月
●治療費用
約127万円(ともに税込、調整費、保定費まで含む総額制)
●付記
前歯の突出とオープンバイトを主訴に来院された患者様です。
リスクとして、
① 最初は矯正装置による不快感、痛み等があります。数日間~1、2 週間で慣れることが多いです。
② 装置の使用状況、顎間ゴムの使用状況、定期的な通院等、矯正治療には患者さんの協力が非常に重 要であり、それらが治療結果や治療期間に影響します
③保定装置を指示通り使用しないと後戻りが生じる可能性が高くなります。
開咬(オープンバイト)症例
●主訴
前歯が咬まないのが気になる
●診断
AngleⅠ級・上下顎前突
●治療に用いた主な装置
上顎にリンガルブラケット矯正装置、下顎にマルチブラケット装置(ハーフリンガル)
●抜歯部位
下顎左右第一小臼歯2本
●治療期間
3年4ヶ月
●治療費用
約111万円(ともに税込、調整費、保定費まで含む総額制)
●付記
舌癖があったため、治療前から舌訓練を行っています。
開咬症例(オープンバイト)
●主訴
上前歯が出ていることが気になる
●診断
AngleⅢ級・前歯部開咬
●治療に用いた主な装置
上顎にリンガルブラケット矯正装置、下顎にマルチブラケット装置(ハーフリンガル)
●抜歯部位
非抜歯
●治療期間
1年2ヶ月
●治療費用
約113万円(ともに税込、調整費、保定費まで含む総額制)
●付記
開咬症例(オープンバイト)
●主訴
歯の隙間が気になる
●診断
AngleⅢ級・前歯部開口
●治療に用いた主な装置
上顎にリンガルブラケット矯正装置、下顎にマルチブラケット装置(ハーフリンガル)
●抜歯部位
上下右側第一小臼歯2本
●治療期間
3年2ヶ月
●治療費用
約120万円(ともに税込、調整費、保定費まで含む総額制)
●付記
開咬症例(オープンバイト)
●主訴
歯のデコボコが気になる
●診断
AngleⅡ級・前歯部開咬
●治療に用いた主な装置
上顎にリンガルブラケット矯正装置、下顎にマルチブラケット装置(ハーフリンガル)
●抜歯部位
上顎左右第一小臼歯
●治療期間
2年8ヶ月
●治療費用
約127万円(ともに税込、調整費、保定費まで含む総額制)
●付記
開咬症例(オープンバイト)
●主訴
上下の前歯が噛めないのが気になる
●診断
AngleⅡ級・開咬
●治療に用いた主な装置
上顎にリンガルブラケット矯正装置、下顎にマルチブラケット装置(ハーフリンガル)
●抜歯部位
上顎左右第一小臼歯
●治療期間
2年7ヶ月
●治療費用
約129万円(ともに税込、調整費、保定費まで含む総額制)
●付記
上下前歯が出ていて前歯が咬めないオープンバイトになっていましたので、抜歯と診断しました。
















































