症例名 叢生(デコボコ)の症例一覧
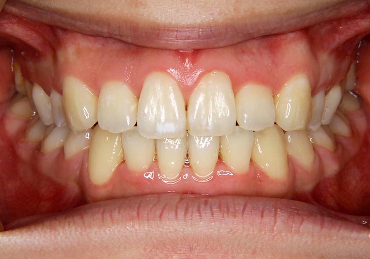
叢生(デコボコ)症例
●主訴
歯のデコボコ
●診断
AngleⅠ級・叢生症例
●治療に用いた主な装置
上下表側矯正
●抜歯部位
上下左右第一小臼歯を4本抜歯
●治療期間
6年7ヶ月(途中4年6ヶ月の間海外転勤のため通院できず)
●治療費用
約94万円(ともに税込、調整費、保定費まで含む総額制)
●付記
デコボコ量が多かったので抜歯矯正の適応となりました。
①歯根吸収…今回治療期間が異状に長かったので、若干上顎前肢の歯根吸収がありました。
②カリエス(むし歯)…治療期間が長かかったにも関わらず、今回はむし歯はありませんでした。
③あともどり…デコボコ量が多いとあともどりもあるので注意が必要です。叢生(デコボコ)症例
●主訴
歯のデコボコが気になる
●診断
AngleⅠ級・前歯部叢生
●治療に用いた主な装置
上顎にリンガルブラケット矯正装置、下顎にマルチブラケット装置(ハーフリンガル)
●抜歯部位
非抜歯
●治療期間
2年5ヶ月
●治療費用
約94万円(ともに税込、調整費、保定費まで含む総額制)
●付記
歯のデコボコを気にされおり、非抜歯にて矯正しました。
リスクとして、
①歯根吸収…今回は全くありませんでした。
②カリエス(むし歯)…今回は治療途中でむし歯治療を行いました。
③あともどり…保定装置の装着をしっかりしていただいています。叢生(デコボコ)症例
●主訴
歯のデコボコが気になる
●診断
AngleⅠ級・前歯部叢生
●治療に用いた主な装置
上顎にリンガルブラケット矯正装置、下顎にマルチブラケット装置(ハーフリンガル)
●抜歯部位
上2本(小臼歯)、下1本(小臼歯)
●治療期間
2年3ヶ月
●治療費用
約113万円(ともに税込、調整費、保定費まで含む総額制)
●付記
デコボコを主訴に来院され、検査の結果上顎前歯の突出もあり、また、下顎前歯1本先欠していたので、3本抜歯となりました。
リスクとして
①歯根吸収…少しだけ歯根吸収がありました。
②カリエス(むし歯)
③あともどり…保定装置の装着をしっかりしていただいています。叢生(デコボコ)症例
●主訴
歯のデコボコが気になる
●診断
AngleⅠ級・前歯部叢生
●治療に用いた主な装置
上顎にリンガルブラケット矯正装置、下顎にマルチブラケット装置(ハーフリンガル)
●抜歯部位
上下顎左右第一小臼歯4本
●治療期間
2年5ヶ月
●治療費用
約113万円(ともに税込、調整費、保定費まで含む総額制)
●付記
前歯のデコボコを主訴に来院されていましので、4本抜歯して矯正しました。
リスクとして、
①歯根吸収…今回は全くありませんでした。
②カリエス(むし歯)…今回は治療途中でむし歯治療を行いました。
叢生(デコボコ)症例
●主訴
歯のデコボコが気になる
●診断
AngleⅡ級・前歯部叢生
●治療に用いた主な装置
上顎にリンガルブラケット矯正装置、下顎にマルチブラケット装置(ハーフリンガル)
●抜歯部位
上顎左右第一小臼歯2本、下顎側切歯1本
●治療期間
2年2ヶ月
●治療費用
約113万円(ともに税込、調整費、保定費まで含む総額制)
●付記
歯のデコボコを気にされおり、非抜歯にて矯正しました。
リスクとして、
①歯を動かすことにより歯根が吸収して短くなることがあります。また、歯ぐきがやせて下がること があります。
②歯の動き方には個人差があります。そのため、予想された治療期間が延長する可能性があります。
叢生(デコボコ)症例
●主訴
歯のデコボコが気になる
●診断
AngleⅠ級・前歯部叢生
●治療に用いた主な装置
上顎にリンガルブラケット矯正装置、下顎にマルチブラケット装置(ハーフリンガル)
●抜歯部位
非抜歯
●治療期間
3年2ヶ月
●治療費用
約113万円(ともに税込、調整費、保定費まで含む総額制)
●付記
叢生(デコボコ)症例
●主訴
歯のデコボコが気になる
●診断
AngleⅠ級・前歯部叢生
●治療に用いた主な装置
上顎にリンガルブラケット矯正装置、下顎にマルチブラケット装置(ハーフリンガル)
●抜歯部位
非抜歯
●治療期間
2年1ヶ月
●治療費用
約94万円(ともに税込、調整費、保定費まで含む総額制)
●付記
歯のデコボコを気にされおり、非抜歯にて矯正しました。
リスクとして、
①歯根吸収…今回は全くありませんでした。
②カリエス(むし歯)…今回は治療途中でむし歯治療を行いました。
③あともどり…保定装置の装着をしっかりしていただいています。
叢生(デコボコ)症例
●主訴
歯のデコボコが気になる
●診断
AngleⅠ級・前歯部叢生
●治療に用いた主な装置
上下顎にリンガルブラケット矯正装置
●抜歯部位
上顎左右第一小臼歯
●治療期間
2年2ヶ月
●治療費用
約132万円(ともに税込、調整費、保定費まで含む総額制)
●付記
歯のデコボコを気にされおり、非抜歯にて矯正しました。
リスクとして、
①歯根吸収
②カリエス(むし歯)
叢生(デコボコ)症例
●主訴
歯のデコボコが気になる
●診断
AngleⅠ級・前歯部叢生
●治療に用いた主な装置
上顎にリンガルブラケット矯正装置、下顎にマルチブラケット装置(ハーフリンガル)
●抜歯部位
上下顎左右第一小臼歯
●治療期間
2年5ヶ月
●治療費用
約113万円(ともに税込、調整費、保定費まで含む総額制)
●付記
歯のデコボコを気にされおり、4本抜歯にて矯正しました。
リスクとして、
①歯根吸収…今回は全くありませんでした。
②カリエス(むし歯)…今回は治療途中でむし歯治療を行いました。
③あともどり…保定装置の装着をしっかりしていただいています。
叢生(デコボコ)症例
●主訴
歯のデコボコが気になる
●診断
AngleⅠ級・前歯部叢生
●治療に用いた主な装置
上下顎にマルチブラケット装置(表側装置)
●抜歯部位
上下左右第一小臼歯4本
●治療期間
3年2ヶ月
●治療費用
約96万円(ともに税込、調整費、保定費まで含む総額制)
●付記
デコボコ量が大きかったので抜歯治療になりました。リスクとして、
①歯根吸収…今回は全くありませんでした。
②カリエス(むし歯)…今回は治療途中でむし歯治療を行いました。




























































