叢生(デコボコ)症例
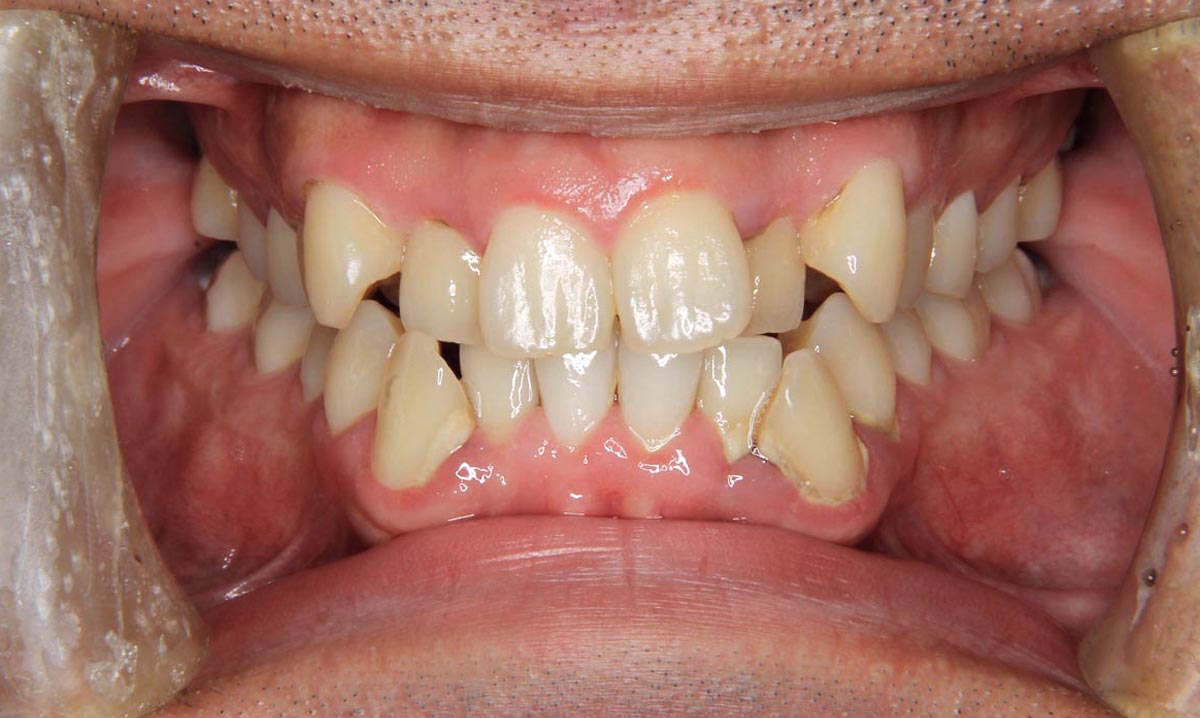
叢生(デコボコ)症例 31歳男性
●主訴
歯のデコボコ
●診断
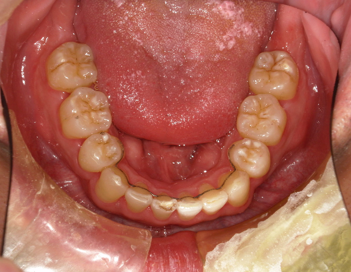
AngleⅠ級・叢生症例
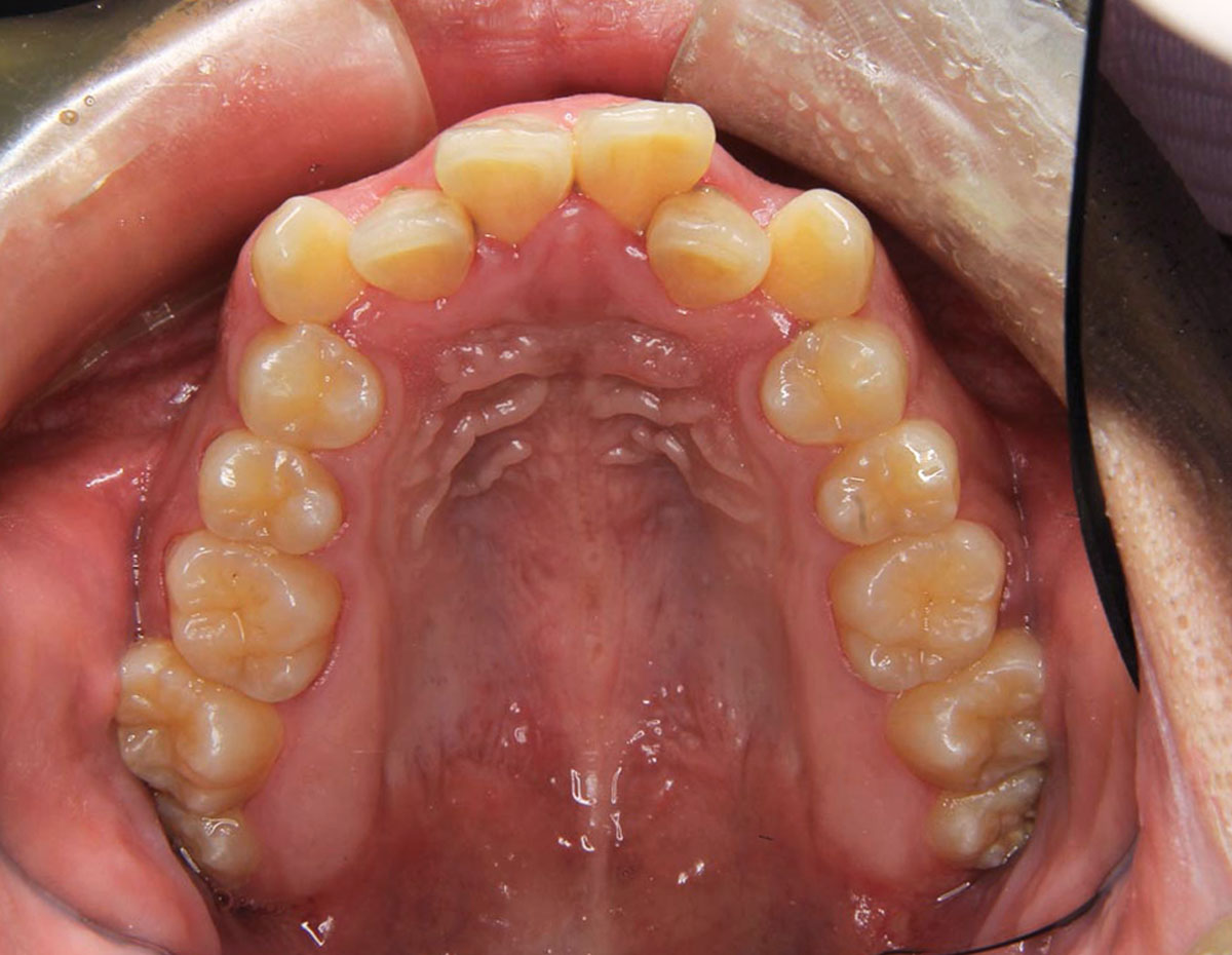
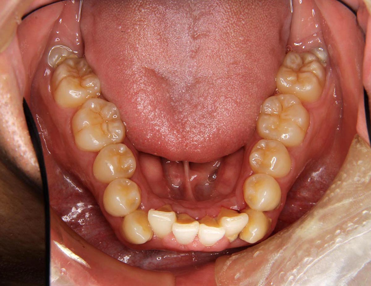
●治療に用いた主な装置
上下表側矯正
●抜歯部位
上下左右第一小臼歯を4本抜歯
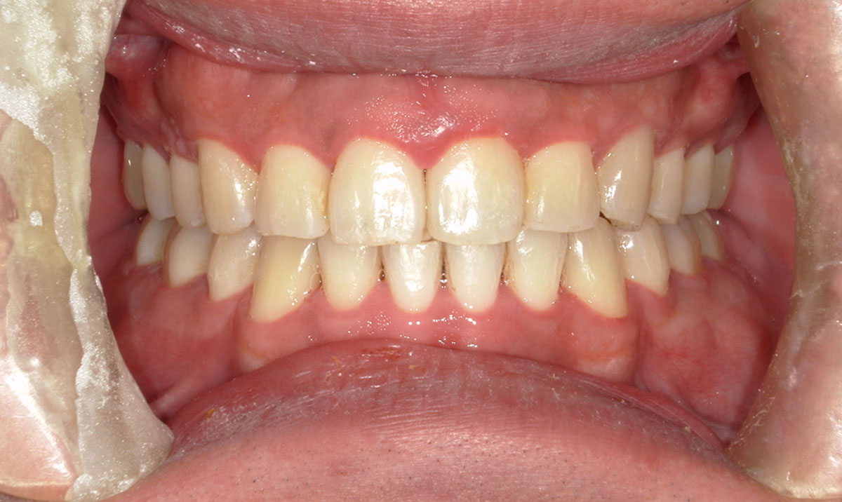
●治療期間
6年7ヶ月(途中4年6ヶ月の間海外転勤のため通院できず)
●治療費用
約94万円(ともに税込、調整費、保定費まで含む総額制)
●付記
デコボコ量が多かったので抜歯矯正の適応となりました。
①歯根吸収…今回治療期間が異状に長かったので、若干上顎前肢の歯根吸収がありました。
②カリエス(むし歯)…治療期間が長かかったにも関わらず、今回はむし歯はありませんでした。
③あともどり…デコボコ量が多いとあともどりもあるので注意が必要です。





