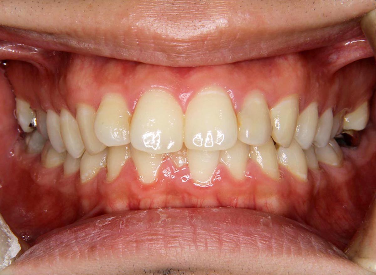
上顎前突(出っ歯)症例
上顎前突(出っ歯)症例 29歳男性
●主訴
出っ歯が気になる
●診断
AngleⅠ級・上下顎前突
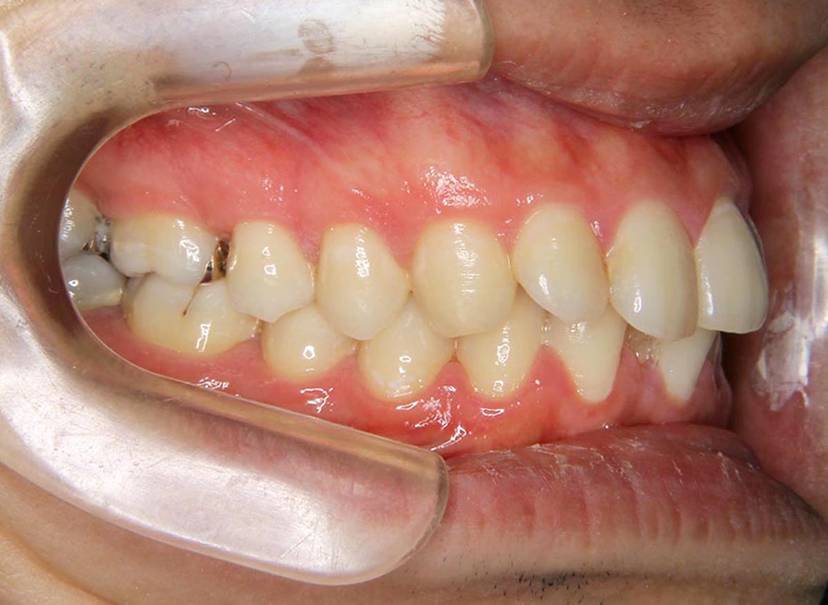
●治療に用いた主な装置
上顎にリンガルブラケット矯正装置、下顎にマルチブラケット装置(ハーフリンガル)
●抜歯部位
上下顎左右第一小臼歯4本
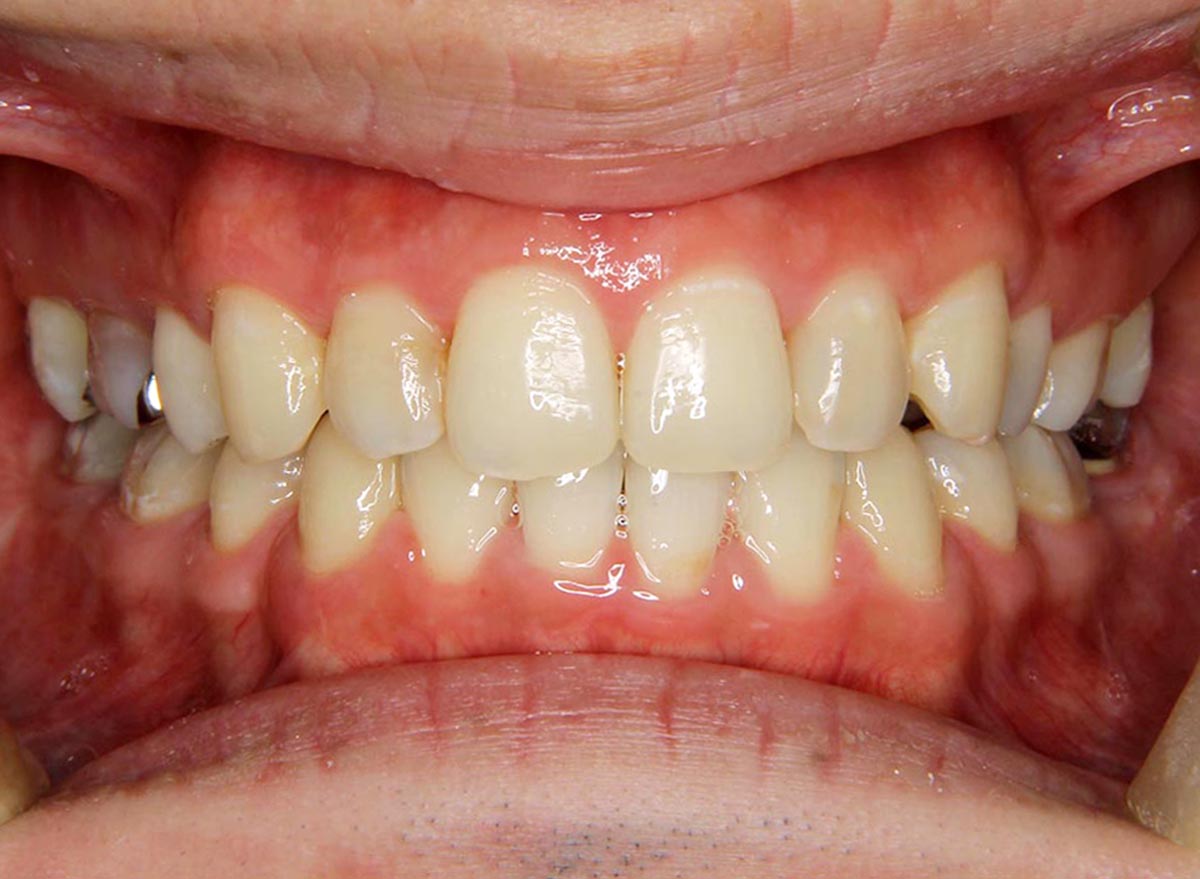
●治療期間
2年2ヶ月
●治療費用
約113万円(ともに税込、調整費、保定費まで含む総額制)
●付記
前歯が出ているのを気にされていましので、4本抜歯して矯正しました。
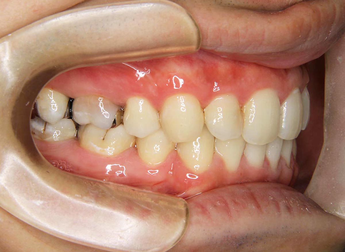
リスクとして、
①歯根吸収…今回は全くありませんでした。
②カリエス(むし歯)…今回は治療途中でむし歯治療を行いました。
③あともどり…今回は舌で前歯を押し出さないよう、舌訓練と保定装置の装着をしっかりしていただいています。






