治療例
※随時更新
※記載している治療費用は、治療当時の価格となります。
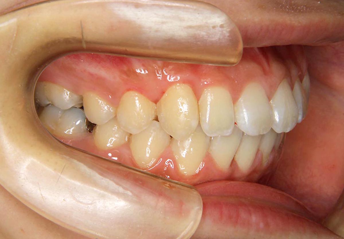
上顎前突(出っ歯)症例
●主訴
出っ歯が気になる
●診断
AngleⅡ級・上顎前突
●治療に用いた主な装置
上顎にリンガルブラケット矯正装置、下顎にマルチブラケット装置(ハーフリンガル)
●抜歯部位
上顎左右第一小臼歯2本
●治療期間
3年2ヶ月
●治療費用
約111万円(ともに税込、調整費、保定費まで含む総額制)
●付記
上顎前歯の突出を主訴に来院され、上顎小臼歯2本の抜歯治療と診断されました。
リスクとして、
①歯根吸収…今回は全くありませんでした。
②カリエス(むし歯)…今回は治療途中でむし歯治療を行いました。
③あともどり…今回は舌で前歯を押し出さないよう、舌訓練と保定装置の装着をしっかりしていただいています。
上顎前突(出っ歯)症例
上顎前突(出っ歯)症例 17歳男性
●主訴
出っ歯が気になる
●診断
AngleⅠ級・上顎前突
●治療に用いた主な装置
上下顎ともにマルチブラケット装置
ヘッドギアー
●抜歯部位
非抜歯
●治療期間
2年9ヶ月
●治療費用
約81万円(ともに税込、調整費、保定費まで含む総額制)
●付記
前歯が出ているのを気にされていましので、ヘッドギアを用いて非抜歯で矯正しました。
リスクとして、
①歯根吸収…今回は全くありませんでした。
②カリエス(むし歯)…今回は治療途中でむし歯治療を行いました。
③あともどり…かみ合わせが深かったので保定装置の装着をしっかりしていただいています。
叢生(デコボコ)症例
●主訴
歯のデコボコが気になる
●診断
AngleⅠ級・前歯部叢生
●治療に用いた主な装置
上顎にリンガルブラケット矯正装置、下顎にマルチブラケット装置(ハーフリンガル)
●抜歯部位
非抜歯
●治療期間
2年5ヶ月
●治療費用
約94万円(ともに税込、調整費、保定費まで含む総額制)
●付記
歯のデコボコを気にされおり、非抜歯にて矯正しました。
リスクとして、
①歯根吸収…今回は全くありませんでした。
②カリエス(むし歯)…今回は治療途中でむし歯治療を行いました。
③あともどり…保定装置の装着をしっかりしていただいています。叢生(デコボコ)症例
●主訴
歯のデコボコが気になる
●診断
AngleⅠ級・前歯部叢生
●治療に用いた主な装置
上顎にリンガルブラケット矯正装置、下顎にマルチブラケット装置(ハーフリンガル)
●抜歯部位
上2本(小臼歯)、下1本(小臼歯)
●治療期間
2年3ヶ月
●治療費用
約113万円(ともに税込、調整費、保定費まで含む総額制)
●付記
デコボコを主訴に来院され、検査の結果上顎前歯の突出もあり、また、下顎前歯1本先欠していたので、3本抜歯となりました。
リスクとして
①歯根吸収…少しだけ歯根吸収がありました。
②カリエス(むし歯)
③あともどり…保定装置の装着をしっかりしていただいています。上顎前突(出っ歯)症例
●主訴
出っ歯が気になる
●診断
AngleⅠ級・上下顎前突
●治療に用いた主な装置
上顎にリンガルブラケット矯正装置、下顎にマルチブラケット装置(ハーフリンガル)
●抜歯部位
上顎左右第一小臼歯2本
●治療期間
2年2ヶ月
●治療費用
約102万円(ともに税込、調整費、保定費まで含む総額制)
●付記
①歯根吸収
②カリエス(むし歯)
叢生(デコボコ)症例
●主訴
歯のデコボコが気になる
●診断
AngleⅠ級・前歯部叢生
●治療に用いた主な装置
上顎にリンガルブラケット矯正装置、下顎にマルチブラケット装置(ハーフリンガル)
●抜歯部位
上下顎左右第一小臼歯4本
●治療期間
2年5ヶ月
●治療費用
約113万円(ともに税込、調整費、保定費まで含む総額制)
●付記
前歯のデコボコを主訴に来院されていましので、4本抜歯して矯正しました。
リスクとして、
①歯根吸収…今回は全くありませんでした。
②カリエス(むし歯)…今回は治療途中でむし歯治療を行いました。
叢生(デコボコ)症例
●主訴
歯のデコボコが気になる
●診断
AngleⅡ級・前歯部叢生
●治療に用いた主な装置
上顎にリンガルブラケット矯正装置、下顎にマルチブラケット装置(ハーフリンガル)
●抜歯部位
上顎左右第一小臼歯2本、下顎側切歯1本
●治療期間
2年2ヶ月
●治療費用
約113万円(ともに税込、調整費、保定費まで含む総額制)
●付記
歯のデコボコを気にされおり、非抜歯にて矯正しました。
リスクとして、
①歯を動かすことにより歯根が吸収して短くなることがあります。また、歯ぐきがやせて下がること があります。
②歯の動き方には個人差があります。そのため、予想された治療期間が延長する可能性があります。
上顎前突(出っ歯)症例
●主訴
出っ歯が気になる
●診断
AngleⅠ級・上下顎前突
●治療に用いた主な装置
上顎にリンガルブラケット矯正装置、下顎にマルチブラケット装置(ハーフリンガル)
●抜歯部位
非抜歯
●治療期間
1年10ヶ月
●治療費用
約113万円(ともに税込、調整費、保定費まで含む総額制)
●付記
上前歯にスペースが多くありましたので、非抜歯で上顎前突(出っ歯)を治療できました。
リスクとして、
①治療中に「顎関節で音が鳴る、あごが痛い、口が開けにくい」などの顎関節症状が出ることがあります。
②治療中は、装置が付いているため歯が磨きにくくなります。そのためむし歯や歯周病のリスクが高まります。
③装置が外れた後、保定装置を指示通り使用しないと後戻りが生じる可能性が高くなります。叢生(デコボコ)症例
●主訴
歯のデコボコが気になる
●診断
AngleⅠ級・前歯部叢生
●治療に用いた主な装置
上顎にリンガルブラケット矯正装置、下顎にマルチブラケット装置(ハーフリンガル)
●抜歯部位
非抜歯
●治療期間
3年2ヶ月
●治療費用
約113万円(ともに税込、調整費、保定費まで含む総額制)
●付記
下顎前突(反対咬合)症例
●主訴
受け口が気になる
●診断
AngleⅢ級・下顎前突
●治療に用いた主な装置
上下顎にマルチブラケット装置(表側の装置)
●抜歯部位
下顎左第一小臼歯1本
●治療期間
2年1ヶ月
●治療費用
約92万円(ともに税込、調整費、保定費まで含む総額制)




























































