治療例
※随時更新
※記載している治療費用は、治療当時の価格となります。
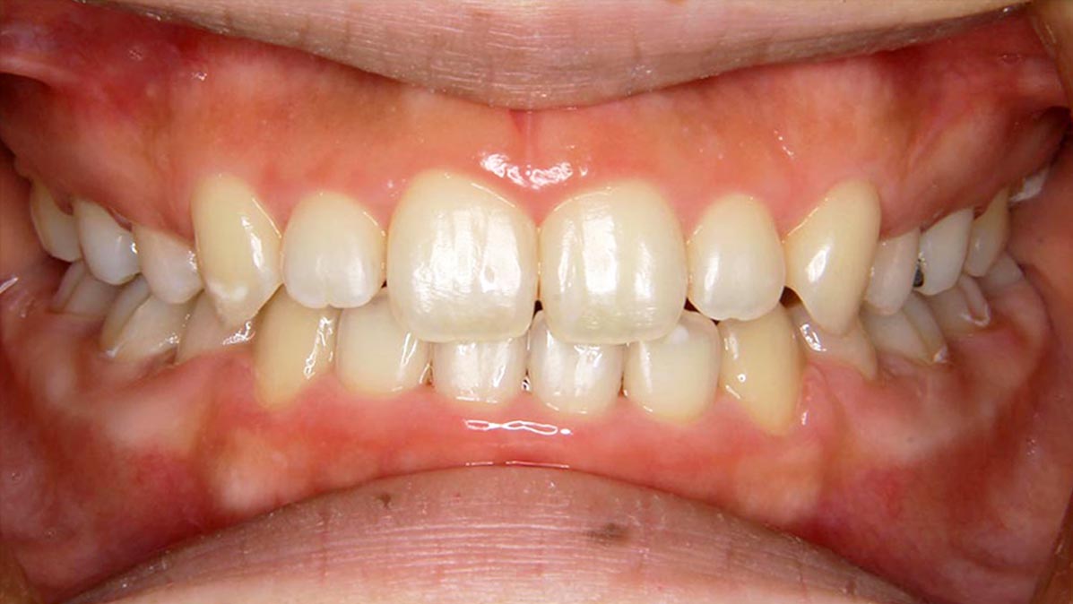
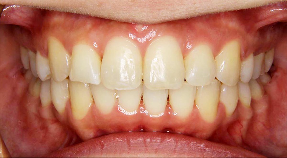
叢生(デコボコ)症例
●主訴
歯のデコボコが気になる
●診断
AngleⅠ級・前歯部叢生
●治療に用いた主な装置
上下顎にマルチブラケット装置(表側装置)
●抜歯部位
非抜歯
●治療期間
2年1ヶ月
●治療費用
約94万円(ともに税込、調整費、保定費まで含む総額制)
●付記
開咬症例(オープンバイト)
●主訴
歯のデコボコが気になる
●診断
AngleⅡ級・前歯部開咬
●治療に用いた主な装置
上顎にリンガルブラケット矯正装置、下顎にマルチブラケット装置(ハーフリンガル)
●抜歯部位
上顎左右第一小臼歯
●治療期間
2年8ヶ月
●治療費用
約127万円(ともに税込、調整費、保定費まで含む総額制)
●付記
上顎前突(出っ歯)症例
●主訴
歯のデコボコが気になる
●診断
AngleⅡ級・前歯部叢生
●治療に用いた主な装置
上顎にリンガルブラケット矯正装置、下顎にマルチブラケット装置(ハーフリンガル)
●抜歯部位
上顎左右第一小臼歯、下顎右側第一小臼歯
●治療期間
2年8ヶ月
●治療費用
約107万円(ともに税込、調整費、保定費まで含む総額制)
●付記
デコボコ+上顎前突(出っ歯)症例
●主訴
歯のデコボコが気になる
●診断
AngleⅠ級・前歯部叢生
●治療に用いた主な装置
上顎にリンガルブラケット矯正装置、下顎にマルチブラケット装置(ハーフリンガル)
●抜歯部位
上下左右第一小臼歯
●治療期間
1年11ヶ月
●治111万円(ともに税込、調整費、保定費まで含む総額制)
●付記
上顎前突(出っ歯)症例
●主訴
出っ歯が気になる
●診断
AngleⅡ級・上顎前突
●治療に用いた主な装置
上下顎にマルチブラケット装置(表側装置)
●抜歯部位
上顎左右第一小臼歯
●治療期間
2年8ヶ月
●治療費用
約94万円(ともに税込、調整費、保定費まで含む総額制)
●付記
出っ歯を抜歯して治療した結果、大きく前歯を後退させることができました。
開咬症例(オープンバイト)
●主訴
上下の前歯が噛めないのが気になる
●診断
AngleⅡ級・開咬
●治療に用いた主な装置
上顎にリンガルブラケット矯正装置、下顎にマルチブラケット装置(ハーフリンガル)
●抜歯部位
上顎左右第一小臼歯
●治療期間
2年7ヶ月
●治療費用
約129万円(ともに税込、調整費、保定費まで含む総額制)
●付記
上下前歯が出ていて前歯が咬めないオープンバイトになっていましたので、抜歯と診断しました。
叢生(デコボコ)症例
●主訴
歯のデコボコが気になる
●診断
AngleⅠ級・前歯部叢生
●治療に用いた主な装置
上顎にリンガルブラケット矯正装置、下顎にマルチブラケット装置(ハーフリンガル)
●抜歯部位
非抜歯
●治療期間
2年2ヶ月
●治療費用
約113万円(ともに税込、調整費、保定費まで含む総額制)
●付記
上下顎前突症例
●主訴
歯が出ているのが気になる
●診断
AngleⅠ級・上下顎前突
●治療に用いた主な装置
上顎にリンガルブラケット矯正装置、下顎にマルチブラケット装置(ハーフリンガル)
●抜歯部位
上下左右第一小臼歯
●治療期間
2年4ヶ月
●治療費用
約102万円(ともに税込、調整費、保定費まで含む総額制)
●付記
上顎前突(出っ歯)症例
●主訴
歯のデコボコが気になる
●診断
AngleⅡ級・上顎前突
●治療に用いた主な装置
上顎にリンガルブラケット矯正装置、下顎にマルチブラケット装置(ハーフリンガル)
●抜歯部位
上顎左右第一小臼歯
●治療期間
2年3ヶ月
●治療費用
約105万円(ともに税込、調整費、保定費まで含む総額制)
●付記
上顎前歯が突出して臼歯の噛み合わせも悪かったので、抜歯して治療を行いました。
叢生(デコボコ)+上顎前突症例
●主訴
歯のデコボコが気になる
●診断
AngleⅠ級・前歯部叢生
●治療に用いた主な装置
上下顎にマルチブラケット装置(表側装置)
●抜歯部位
上顎左右第一小臼歯
●治療期間
2年3ヶ月
●治療費用
約92万円(ともに税込、調整費、保定費まで含む総額制)
●付記
デコボコと出っ歯がありましたので、抜歯症例となりました。




























































