治療例
※随時更新
※記載している治療費用は、治療当時の価格となります。
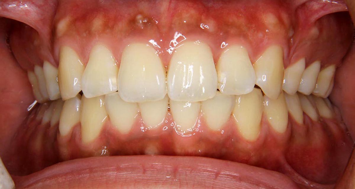
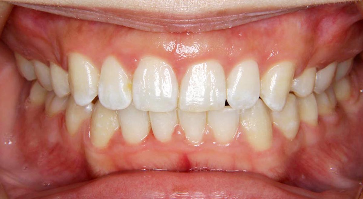
上顎前突(出っ歯)症例
●主訴
歯のデコボコが気になる
●診断
AngleⅡ級・上顎前突
●治療に用いた主な装置
上顎にリンガルブラケット矯正装置、下顎にマルチブラケット装置(ハーフリンガル)
●抜歯部位
上顎左右第一小臼歯2本
●治療期間
2年2ヶ月
●治療費用
約111万円(ともに税込、調整費、保定費まで含む総額制)
●付記
小学校の頃に出っ歯をぶつけて折ってしまった過去があります。
叢生(デコボコ)症例
●主訴
歯のデコボコが気になる
●診断
AngleⅠ級・鞍状歯列弓
●治療に用いた主な装置
上顎にリンガルブラケット矯正装置、下顎にマルチブラケット装置(ハーフリンガル)
●抜歯部位
上下左右第一小臼歯4本
●治療期間
2年10ヶ月
●治療費用
約128万円(ともに税込、調整費、保定費まで含む総額制)
●付記
下顎左方偏位症例
●主訴
顎のずれが気になる
●診断
下顎側方偏位症例
●治療に用いた主な装置
上顎にリンガルブラケット矯正装置、下顎にマルチブラケット装置(ハーフリンガル)
●抜歯
叢生(デコボコ)症例
●主訴
歯のデコボコが気になる
●診断
AngleⅠ級叢生
●治療に用いた主な装置
上顎下顎にマルチブラケット装置(表側装置)
上顎前突(出っ歯)症例
叢生(デコボコ)症例
●主訴
歯のデコボコが気になる
●診断
AngleⅡ級・前歯部叢生
●治療に用いた主な装置
上顎にリンガルブラケット矯正装置、下顎にマルチブラケット装置(ハーフリンガル)
●抜歯部位
上顎左右第一小臼歯 2本
●治療期間
2年1ヶ月
●治療費用
約129万円(ともに税込、調整費、保定費まで含む総額制)
●付記
デコボコが強かったので抜歯治療となりました。
叢生(デコボコ)症例
●主訴
歯のデコボコが気になる
●診断
AngleⅠ級・前歯部叢生
●治療に用いた主な装置
上顎にリンガルブラケット矯正装置、下顎にマルチブラケット装置(ハーフリンガル)
●抜歯部位
上顎左右第一小臼歯 2本
●治療期間
2年6ヶ月
●治療費用
約111万円(ともに税込、調整費、保定費まで含む総額制)
●付記
歯のデコボコを気にされおり、非抜歯にて矯正しました。
リスクとして、
①歯根吸収…今回は全くありませんでした。
②カリエス(むし歯)…今回は治療途中でむし歯治療を行いました。
③あともどり…保定装置の装着をしっかりしていただいています。上顎前突(出っ歯)症例
●主訴
歯のデコボコが気になる
●診断
AngleⅠ級・前歯部叢生
●治療に用いた主な装置
上下顎にマルチブラケット装置(表側装置)
●抜歯部位
上顎左右第一小臼歯
●治療期間
2年4ヶ月
●治療費用
約107万円(ともに税込、調整費、保定費まで含む総額制)
●付記
舌癖があり、前歯オープンバイトも併発していたので、抜歯治療となりました。
叢生(デコボコ)症例
●主訴
歯のデコボコが気になる
●診断
AngleⅠ級・前歯部叢生
●治療に用いた主な装置
上下顎にマルチブラケット装置(表側装置)
●抜歯部位
非抜歯
●治療期間
2年1ヶ月
●治療費用
約94万円(ともに税込、調整費、保定費まで含む総額制)
●付記
開咬症例(オープンバイト)
●主訴
歯のデコボコが気になる
●診断
AngleⅡ級・前歯部開咬
●治療に用いた主な装置
上顎にリンガルブラケット矯正装置、下顎にマルチブラケット装置(ハーフリンガル)
●抜歯部位
上顎左右第一小臼歯
●治療期間
2年8ヶ月
●治療費用
約127万円(ともに税込、調整費、保定費まで含む総額制)
●付記




























































