治療例
※随時更新
※記載している治療費用は、治療当時の価格となります。
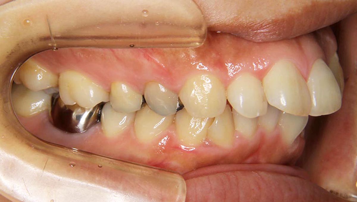
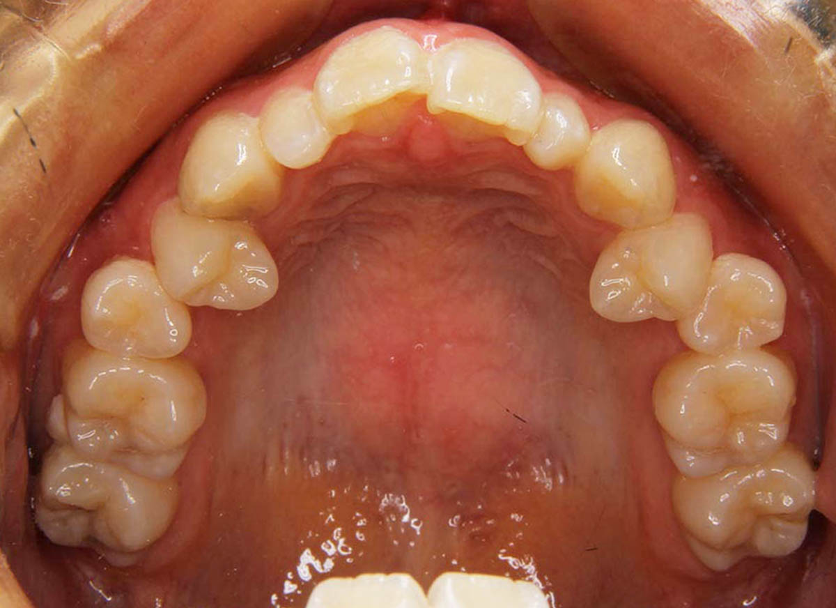
叢生(デコボコ)症例
●主訴
歯のデコボコが気になる
●診断
AngleⅡ級・前歯部叢生
●治療に用いた主な装置
上顎にリンガルブラケット矯正装置、下顎にマルチブラケット装置(ハーフリンガル)
●抜歯部位
上顎左右第一小臼歯、下顎右側第一小臼歯計3本
●治療期間
3年2ヶ月
●治療費用
約113万円(ともに税込、調整費、保定費まで含む総額制)
●付記
下顎前突(反対咬合)症例
●主訴
受け口が気になる
●診断
AngleⅢ級・前歯部反対咬合
●治療に用いた主な装置
上下顎にマルチブラケット装置(表側の装置)
●抜歯部位
非抜歯
●治療期間
3年2ヶ月
●治療費用
約89万円(ともに税込、調整費、保定費まで含む総額制)
●付記
第1期でフェイシャルマスクと拡大装置を入れ、第2期で仕上げ治療を行いました。
リスクとして、
① 歯を動かすことにより歯根が吸収して短くなることがあります。
② 様々な問題により、当初予定した治療計画を変更する可能性があります。
③ 装置が外れた後、保定装置を指示通り使用しないと後戻りが生じる可能性が高くなります。
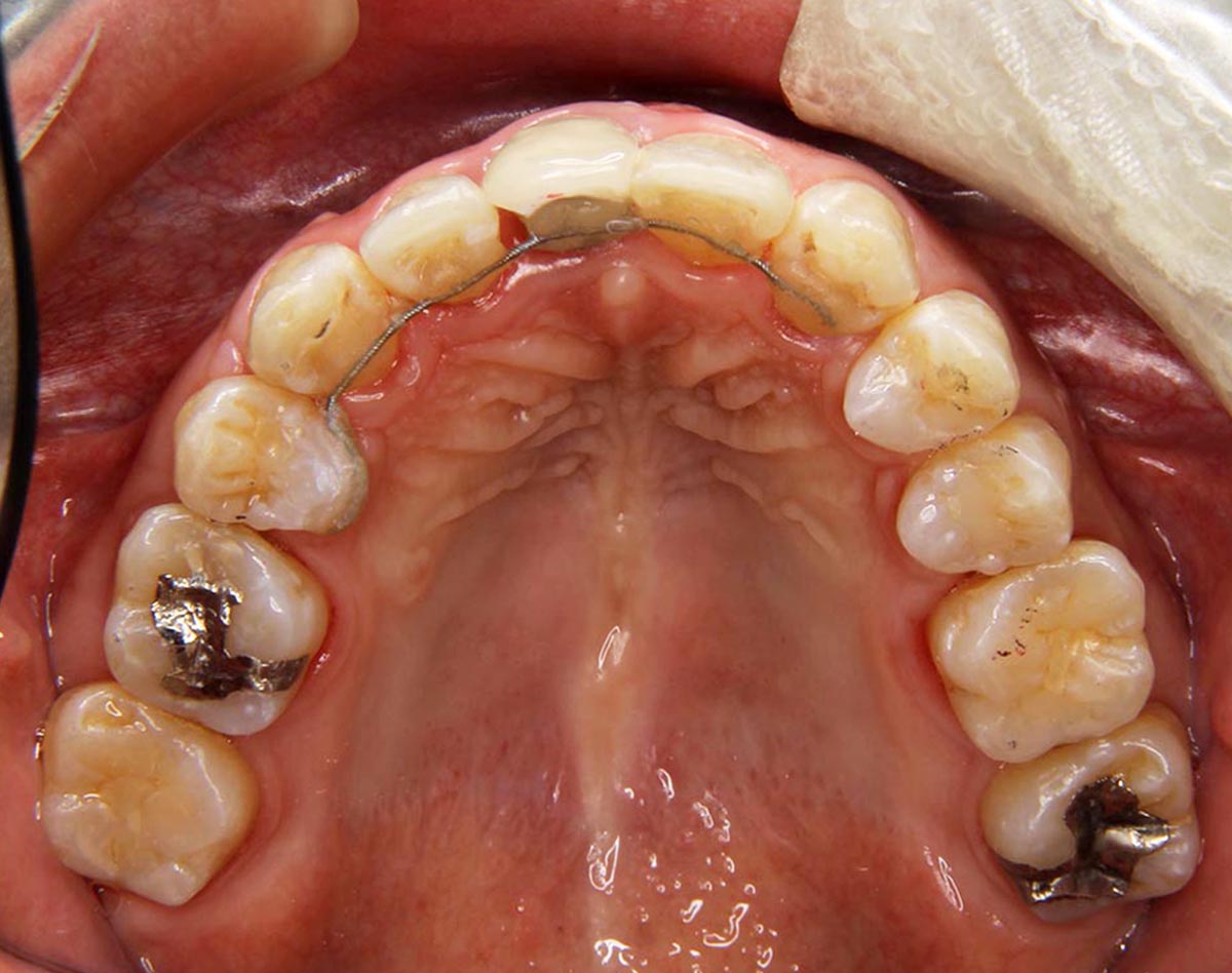
叢生(デコボコ)症例
●主訴
歯のデコボコが気になる
●診断
AngleⅠ級・前歯部叢生
●治療に用いた主な装置
上下顎にマルチブラケット装置(表側装置)
●抜歯部位
上下左右第一小臼歯4本
●治療期間
1年10ヶ月
●治療費用
約96万円(ともに税込、調整費、保定費まで含む総額制)
●付記
歯のデコボコを気にされおり、非抜歯にて矯正しました。
リスクとして、
①歯根吸収…今回は全くありませんでした。
②カリエス(むし歯)…今回は治療途中でむし歯治療を行いました。
③あともどり…保定装置の装着をしっかりしていただいています。
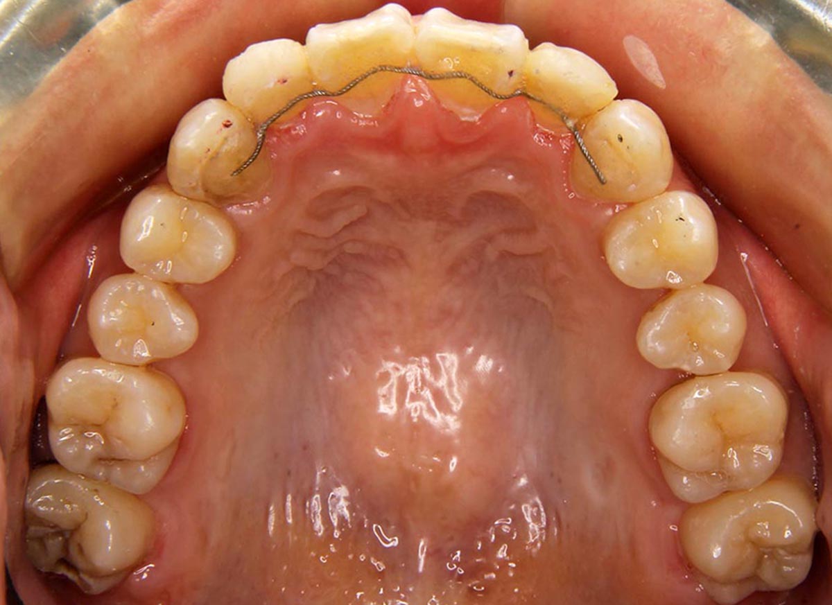
叢生(デコボコ)症例
●主訴
歯のデコボコが気になる
●診断
AngleⅠ級・前歯部叢生
●治療に用いた主な装置
上下顎にマルチブラケット(表側装置)
●抜歯部位
上下左右第一小臼歯4本
●治療期間
2年6ヶ月
●治療費用
約92万円(ともに税込、調整費、保定費まで含む総額制)
●付記
デコボコがきつかったので抜歯症例となりました。
リスクとして、
①歯根吸収…今回は全くありませんでした。
②カリエス(むし歯)…今回は治療途中でむし歯治療を行いました。
③あともどり…保定装置の装着をしっかりしていただいています。
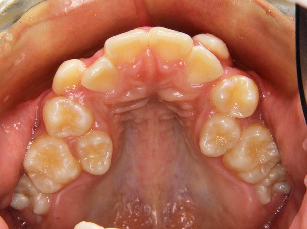
叢生(デコボコ)症例
●主訴
歯のデコボコが気になる
●診断
AngleⅠ級・前歯部叢生
●治療に用いた主な装置
上顎にリンガルブラケット矯正装置、下顎にマルチブラケット装置(ハーフリンガル)
●抜歯部位
非抜歯
●治療期間
2年10ヶ月
●治療費用
約108万円(ともに税込、調整費、保定費まで含む総額制)
●付記
歯列が狭かったので、拡大してから非抜歯で矯正しました。リスクとして、
①歯根吸収…今回は全くありませんでした。
②カリエス(むし歯)…今回は治療途中でむし歯治療を行いました。
③あともどり…保定装置の装着をしっかりしていただいています。
叢生(デコボコ)症例
●主訴
歯のデコボコが気になる
●診断
AngleⅠ級・前歯部叢生
●治療に用いた主な装置
上下顎にマルチブラケット装置(表側装置)
●抜歯部位
上下左右第一小臼歯4本
●治療期間
3年2ヶ月
●治療費用
約94万円(ともに税込、調整費、保定費まで含む総額制)
●付記
ひどいデコボコだったので拡大してからの抜歯治療になりました。リスクとして、
①歯根吸収…今回は全くありませんでした。
②カリエス(むし歯)…今回は治療途中でむし歯治療を行いました。
③あともどり…保定装置の装着をしっかりしていただいています。叢生(デコボコ)症例
●主訴
歯のデコボコが気になる
●診断
AngleⅠ級・前歯部叢生
●治療に用いた主な装置
上下顎にリンガルブラケット矯正装置(フルフリンガル)
●抜歯部位
上下左右第一小臼歯
●治療期間
3年5ヶ月
●治療費用
約129万円(ともに税込、調整費、保定費まで含む総額制)
●付記
口元を改善したいというご本人のたっての希望もあり、50代という年齢ですが4本抜歯して矯正しました。
リスクとして、
①歯根吸収…今回は全くありませんでした。
②カリエス(むし歯)…今回は治療途中でむし歯治療を行いました。
③あともどり…保定装置の装着をしっかりしていただいています。上顎前突(出っ歯)+叢生(デコボコ)症例
●主訴
歯のデコボコが気になる
●診断
AngleⅠ級・前歯部叢生
●治療に用いた主な装置
上下顎にリンガルブラケット矯正装置(フルリンガル)
●抜歯部位
上下左右第一小臼歯4本
●治療期間
3年1ヶ月
●治療費用
約132万円(ともに税込、調整費、保定費まで含む総額制)
●付記
歯のデコボコを気にされおり、抜歯にて矯正しました。
リスクとして、
①歯根吸収…今回は全くありませんでした。
②カリエス(むし歯)…今回は治療途中でむし歯治療を行いました。
上顎前突(出っ歯)症例
●主訴
出っ歯が気になる
●診断
AngleⅡ級・上顎前突
●治療に用いた主な装置
上顎にリンガルブラケット矯正装置、下顎にマルチブラケット装置(ハーフリンガル)
●抜歯部位
上顎左右第一小臼歯2本
●治療期間
2年10ヶ月
●治療費用
約113万円(ともに税込、調整費、保定費まで含む総額制)
●付記
歯のデコボコを気にされおり、非抜歯にて矯正しました。
リスクとして、
①歯根吸収…今回は全くありませんでした。
②カリエス(むし歯)…今回は治療途中でむし歯治療を行いました。
③あともどり…保定装置の装着をしっかりしていただいています。
上顎前突(出っ歯)症例
●主訴
出っ歯が気になる
●診断
AngleⅠ級・前歯部叢生
●治療に用いた主な装置
上顎にリンガルブラケット矯正装置、下顎にマルチブラケット装置(ハーフリンガル)
●抜歯部位
上顎左右第一小臼歯2本下顎小臼歯1本
●治療期間
2年1ヶ月
●治療費用
約111万円(ともに税込、調整費、保定費まで含む総額制)
●付記
リスクとして、
①歯根吸収…今回は全くありませんでした。
②カリエス(むし歯)…今回は治療途中でむし歯治療を行いました。




























































