治療例
※随時更新
※記載している治療費用は、治療当時の価格となります。
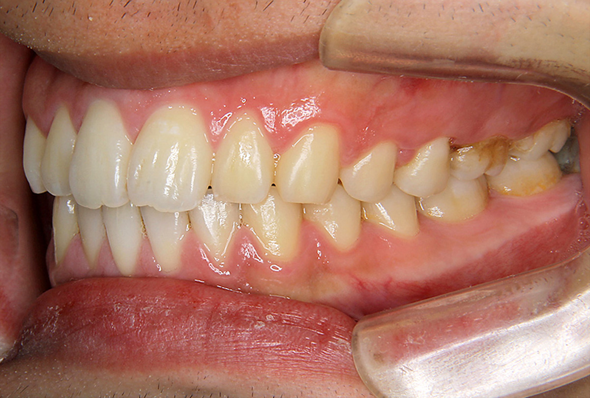
上顎前突(出っ歯)症例
●主訴
出っ歯が気になる
●診断
AngleⅡ級・上顎前突
●治療に用いた主な装置
上顎にリンガルブラケット矯正装置、下顎にマルチブラケット装置(ハーフリンガル)
●抜歯部位
上顎左右第一小臼歯2本
●治療期間
2年2ヶ月
●治療費用
約113万円(ともに税込、調整費、保定費まで含む総額制)
●付記
上顎前歯が突出し、臼歯の咬合もズレていたので上のみ2本抜歯して矯正しました。
リスクとして、
①歯の動き方には個人差があります。そのため、予想された治療期間が延長する可能性があります。
②歯を動かすことにより歯根が吸収して短くなることがあります。
③装置が外れた後、保定装置を指示通り使用しないと後戻りが生じる可能性が高くなります
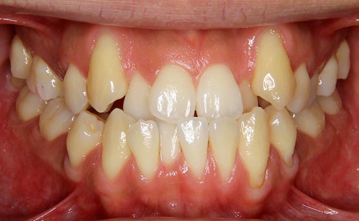
開咬(オープンバイト)症例
●主訴
出っ歯と歯のデコボコが気になる
●診断
AngleⅡ級・叢生を伴う開咬症例
●治療に用いた主な装置
上下顎ともにマルチブラケット装置(表側装置)
●抜歯部位
上顎左右第一小臼歯2本、下顎側切歯1本
●治療期間
2年6ヶ月
●治療費用
約107万円(ともに税込、調整費、保定費まで含む総額制)
●付記
デコボコ、出っ歯、開咬と様々な不正が重なる症例でした。
リスクとして、
①歯の動き方には個人差があります。そのため、予想された治療期間が延長する可能性があります。
②治療中に「顎関節で音が鳴る、あごが痛い、口が開けにくい」などの顎関節症状が出ることがあり ます。
③装置が外れた後、保定装置を指示通り使用しないと後戻りが生じる可能性が高くなります。
上顎前突(出っ歯)+開咬(オープンバイト)症例
●主訴
出っ歯が気になる
●診断
AngleⅠ級・開咬
●治療に用いた主な装置
上顎にリンガルブラケット矯正装置、下顎にマルチブラケット装置(ハーフリンガル)
●抜歯部位
上顎左右第一小臼歯2本
●治療期間
2年2ヶ月
●治療費用
約127万円(ともに税込、調整費、保定費まで含む総額制)
●付記
舌癖により、前歯が前方に押し出されてしまっていたので、舌の訓練をしっかりしてから矯正に入りました。
リスクとして、
① 歯を動かすことにより歯根が吸収して短くなることがあります。
② 様々な問題により、当初予定した治療計画を変更する可能性があります。
③ 装置が外れた後、保定装置を指示通り使用しないと後戻りが生じる可能性が高くなります。
叢生(デコボコ)症例
●主訴
歯のデコボコが気になる
●診断
AngleⅠ級・前歯部叢生
●治療に用いた主な装置
上下顎にマルチブラケット装置(表側装置)
●抜歯部位
上下左右第一小臼歯4本
●治療期間
2年3ヶ月
●治療費用
① 歯を動かすことにより歯根が吸収して短くなることがあります。
②歯の動き方には個人差があります。そのため、予想された治療期間が延長する可能性があります。
③ 装置が外れた後、保定装置を指示通り使用しないと後戻りが生じる可能性が高くなります。
叢生(デコボコ)症例
●主訴
歯のデコボコが気になる
●診断
AngleⅠ級・前歯部叢生
●治療に用いた主な装置
上下顎にマルチブラケット装置(表側装置)
●抜歯部位
上下右第一小臼歯 2本
●治療期間
2年3ヶ月
●治療費用
約94万円(ともに税込、調整費、保定費まで含む総額制)
●付記
① 歯を動かすことにより歯根が吸収して短くなることがあります。
② 歯を動かすことにより歯ぐきがやせて下がること があります。
③ 装置が外れた後、保定装置を指示通り使用しないと後戻りが生じる可能性が高くなります。
上顎前突(出っ歯)症例
●主訴
出っ歯が気になる
●診断
AngleⅠ級・上顎前歯部唇側
傾斜
●治療に用いた主な装置
上下顎にマルチブラケット装置(表側装置)
●抜歯部位
上下顎左右第一小臼歯4本
●治療期間
1年10ヶ月
●治療費用
約105万円(ともに税込、調整費、保定費まで含む総額制)
●付記
出っ歯とデコボコを気にされていたので、4本抜歯治療になりました。
リスクとして、
①歯根吸収…今回は全くありませんでした。
②カリエス(むし歯)…今回は治療途中でむし歯治療を行いました。
叢生(デコボコ)症例
●主訴
歯のデコボコが気になる
●診断
AngleⅠ級・前歯部叢生
●治療に用いた主な装置
上顎にリンガルブラケット矯正装置、下顎にマルチブラケット装置(ハーフリンガル)
●抜歯部位
上顎左右第一小臼歯2本、下顎側切歯1本
●治療期間
2年9ヶ月
●治療費用
約113万円(ともに税込、調整費、保定費まで含む総額制)
●付記
歯のデコボコを気にされおり、抜歯治療となりました。
リスクとして、
① 歯を動かすことにより歯根が吸収して短くなることがあります。
② 様々な問題により、当初予定した治療計画を変更する可能性があります。
③ 装置が外れた後、保定装置を指示通り使用しないと後戻りが生じる可能性が高くなります。
叢生(デコボコ)症例
●主訴
歯のデコボコが気になる
●診断
AngleⅠ級・前歯部叢生
●治療に用いた主な装置
上顎にリンガルブラケット矯正装置、下顎にマルチブラケット装置(ハーフリンガル)
●抜歯部位
非抜歯
●治療期間
2年2ヶ月
●治療費用
約113万円(ともに税込、調整費、保定費まで含む総額制)
●付記
デコボコ量は多めでしたが、全体的に歯が内を向いていて、口元も綺麗だったので抜かないで治療できました。
リスクとして、
① 歯を動かすことにより歯根が吸収して短くなることがあります。
② 歯ぐきがやせて下がること があります。
③ 装置が外れた後、保定装置を指示通り使用しないと後戻りが生じる可能性が高くなります。
過蓋咬合(ディープバイト)症例
●主訴
出っ歯が気になる
●診断
AngleⅠ級・過蓋咬合
●治療に用いた主な装置
上顎にリンガルブラケット矯正装置、下顎にマルチブラケット装置(ハーフリンガル)
●抜歯部位
非抜歯
●治療期間
2年
●治療費用
約113万円(ともに税込、調整費、保定費まで含む総額制)
① 歯を動かすことにより歯根が吸収して短くなることがあります。
② 様々な問題により、当初予定した治療計画を変更する可能性があります。
③ 装置が外れた後、保定装置を指示通り使用しないと後戻りが生じる可能性が高くなります。
上下顎前突症例
●主訴
出っ歯が気になる
●診断
AngleⅠ級・上下顎前突
●治療に用いた主な装置
上顎にリンガルブラケット矯正装置、下顎にマルチブラケット装置(ハーフリンガル)
●抜歯部位
上顎左右第一小臼歯2本
●治療期間
2年2ヶ月
●治療費用
約112万円(ともに税込、調整費、保定費まで含む総額制)
●付記
上下顎とも前歯が出ているのを気にされていましので、4本抜歯して矯正しました。
リスクとして、
① 歯を動かすことにより歯根が吸収して短くなることがあります。
② 歯の動き方には個人差があります。そのため、予想された治療期間が延長する可能性があります。
③ 装置が外れた後、保定装置を指示通り使用しないと後戻りが生じる可能性が高くなります。




























































