治療例
※随時更新
※記載している治療費用は、治療当時の価格となります。
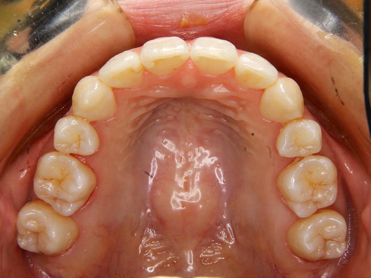
上下顎前突症例
●主訴
口元の突出感が気になる
●診断
AngleⅠ級・上下顎前突
●治療に用いた主な装置
上下顎にマルチブラケット装置(表側装置)
●抜歯部位
上下顎左右第一小臼歯4本
●治療期間
3年7ヶ月
●治療費用
約94万円(ともに税込、調整費、保定費まで含む総額制)
●付記
口元の突出を気にされていましので、4本抜歯して矯正しました。
リスクとして、
① 歯を動かすことにより歯根が吸収して短くなることがあります。
② 矯正歯科治療は、一度始めると元の状態に戻すことは難しくなります。
③ 装置が外れた後、保定装置を指示通り使用しないと後戻りが生じる可能性が高くなります。
上顎前突(出っ歯)+叢生(デコボコ)症例
●主訴
歯のデコボコと歯が出ているのが気になる
●診断
AngleⅡ級・前歯部叢生
●治療に用いた主な装置
上下顎にマルチブラケット装置(表側装置)
●抜歯部位
上顎左右第一小臼歯2本
●治療期間
2年3ヶ月
●治療費用
約107万円(ともに税込、調整費、保定費まで含む総額制)
●付記
リスクとして、
① 歯を動かすことにより歯根が吸収して短くなることがあります。
② 様々な問題により、当初予定した治療計画を変更する可能性があります。
③ 装置が外れた後、保定装置を指示通り使用しないと後戻りが生じる可能性が高くなります。
上顎前突(出っ歯)症例
●主訴
出っ歯で咬み合わせが深いのが気になる
●診断
AngleⅡ級・上顎前突
●治療に用いた主な装置
上顎にリンガルブラケット矯正装置、下顎にマルチブラケット装置(ハーフリンガル)
●抜歯部位
上顎左右第一小臼歯2本
●治療期間
2年2ヶ月
●治療費用
約111万円(ともに税込、調整費、保定費まで含む総額制)
●付記
前歯が出ているのを気にされていましので、上のみ2本抜歯して矯正しました。
リスクとして、
① 歯を動かすことにより歯根が吸収して短くなることがあります。
② 様々な問題により、当初予定した治療計画を変更する可能性があります。
③ 装置が外れた後、保定装置を指示通り使用しないと後戻りが生じる可能性が高くなります。
下顎前突(反対咬合)症例
●主訴
受け口が気になる
●診断
AngleⅢ級・下顎前突・前歯部叢生
●治療に用いた主な装置
上顎にリンガルブラケット矯正装置、下顎にマルチブラケット装置(ハーフリンガル)
●抜歯部位
上下顎左右第一小臼歯4本
●治療期間
2年6ヶ月
●治療費用
約113万円(ともに税込、調整費、保定費まで含む総額制)
●付記
前歯の反対咬合とデコボコが主訴でしたので、抜歯治療となりました。
リスクとして、
① 歯を動かすことにより歯根が吸収して短くなることがあります。
② 様々な問題により、当初予定した治療計画を変更する可能性があります。
③ 装置が外れた後、保定装置を指示通り使用しないと後戻りが生じる可能性が高くなります。
開咬(オープンバイト)症例
●主訴
歯のデコボコが気になる
●診断
AngleⅢ級・前歯部開咬
●治療に用いた主な装置
上顎にリンガルブラケット矯正装置、下顎にマルチブラケット装置(ハーフリンガル)
●抜歯部位
上下左右第一小臼歯
●治療期間
2年6ヶ月
●治療費用
約127万円(ともに税込、調整費、保定費まで含む総額制)
●付記
前歯の突出とオープンバイトを主訴に来院された患者様です。
リスクとして、
① 最初は矯正装置による不快感、痛み等があります。数日間~1、2 週間で慣れることが多いです。
② 装置の使用状況、顎間ゴムの使用状況、定期的な通院等、矯正治療には患者さんの協力が非常に重 要であり、それらが治療結果や治療期間に影響します
③保定装置を指示通り使用しないと後戻りが生じる可能性が高くなります。
上下顎前突症例
●主訴
出っ歯が気になる
●診断
AngleⅠ級・上下顎前突
●治療に用いた主な装置
上顎にリンガルブラケット矯正装置、下顎にマルチブラケット装置(ハーフリンガル)
●抜歯部位
上下顎左右第一小臼歯4本
●治療期間
2年10ヶ月
●治療費用
約113万円(ともに税込、調整費、保定費まで含む総額制)
●付記
前歯が出ているのを気にされていましので、4本抜歯して矯正しました。
リスクとして、
①歯を動かすことにより歯根が吸収して短くなることがあります。
②歯を動かすことにより歯ぐきがやせて下がること があります。
上顎前突(出っ歯)症例
●主訴
出っ歯と口元の改善
●診断
AngleⅠ級・前歯部叢生
●治療に用いた主な装置
上顎にリンガルブラケット矯正装置、下顎にマルチブラケット装置(ハーフリンガル)
●抜歯部位
上下左右第一小臼歯4本
●治療期間
2年4ヶ月
●治療費用
約127万円(ともに税込、調整費、保定費まで含む総額制)
●付記
主訴が出っ歯と口元の改善だったため、抜歯して治療しました。
リスクとして、
① 歯を動かすことにより歯根が吸収して短くなることがあります。
② 様々な問題により、当初予定した治療計画を変更する可能性があります。
③ 装置が外れた後、保定装置を指示通り使用しないと後戻りが生じる可能性が高くなります。
叢生(デコボコ)症例
●主訴
歯のデコボコが気になる
●診断
AngleⅠ級・前歯部叢生
●治療に用いた主な装置
上下顎にマルチブラケット装置(表側装置)
●抜歯部位
上下左右第一小臼歯
●治療期間
2年5ヶ月
●治療費用
約92万円(ともに税込、調整費、保定費まで含む総額制)
●付記
歯のデコボコを気にされおり、非抜歯にて矯正しました。
リスクとして、
① 歯を動かすことにより歯根が吸収して短くなることがあります。
② 様々な問題により、当初予定した治療計画を変更する可能性があります。
③ 装置が外れた後、保定装置を指示通り使用しないと後戻りが生じる可能性が高くなります。
上顎前突(出っ歯)症例
●主訴
口元の突出感が気になる
●診断
AngleⅠ級・上顎前突
●治療に用いた主な装置
上顎にリンガルブラケット矯正装置、下顎にマルチブラケット装置(ハーフリンガル)
●抜歯部位
上下顎左右第一小臼歯4本
●治療期間
① 歯を動かすことにより歯根が吸収して短くなることがあります。
② 様々な問題により、当初予定した治療計画を変更する可能性があります。
③ 装置が外れた後、保定装置を指示通り使用しないと後戻りが生じる可能性が高くなります。
開咬(オープンバイト)症例
●主訴
前歯が咬まないのが気になる
●診断
AngleⅠ級・上下顎前突
●治療に用いた主な装置
上顎にリンガルブラケット矯正装置、下顎にマルチブラケット装置(ハーフリンガル)
●抜歯部位
下顎左右第一小臼歯2本
●治療期間
3年4ヶ月
●治療費用
約111万円(ともに税込、調整費、保定費まで含む総額制)
●付記
舌癖があったため、治療前から舌訓練を行っています。




























































