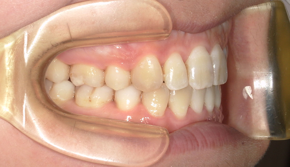
アップル歯列矯正歯科 ホーム 治療例 上下顎前突症例 2026.3.14 上下顎前突症例 自分に合った症例を選択する パソコンの場合は右側、スマホの場合はページ下部表⽰の「カテゴリ」で、症例毎の表⽰が可能です。 「カテゴリ」に移動する 上下顎前突症例 29歳女性●主訴上下歯が出てる 口元が気になる ●診断AngleⅠ級・上下顎前突 ●治療に用いた主な装置上下表側矯正 ●抜歯部位上下顎左右第一小臼歯 4本抜歯 ●治療期間2年3ヶ月 ●治療費用約115万円(ともに税込、調整費、保定費まで含む総額制) ●付記舌で前歯を押し出す癖があったので、説訓練を併用しています。 前の症例 次の症例 カテゴリー 症例名 叢生(デコボコ)(40) 上顎前突(出っ歯)+デコボコ症例(1) 症例名 上顎前突(出っ歯)(28) 下顎前突(反対咬合)症例(1) 症例名 下顎前突(反対咬合)(5) 症例名 開咬(オープンバイト)(8) 症例名 上下顎前突(10) 症例名 上顎前突(出っ歯)+開咬(オープンバイト)症例(2) 症例名 過蓋咬合(ディープバイト)(1) 症例名 上顎前突(出っ歯)+叢生(デコボコ)症例(2) 症例名 空隙歯列(スペースアーチ)(1) 症例名 下顎側方偏位(1)