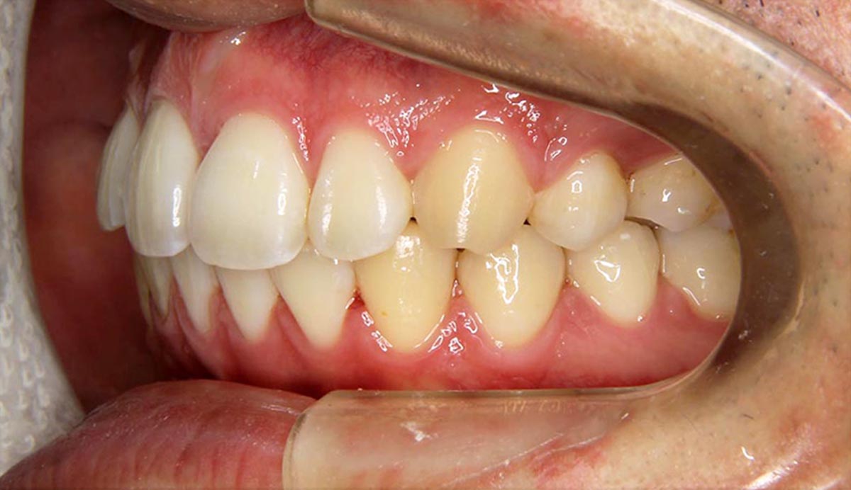
上顎前突(出っ歯)症例
上顎前突(出っ歯)症例 30歳男性
●主訴
出っ歯が気になる
●診断
AngleⅡ級・上顎前突
●治療に用いた主な装置
上顎にリンガルブラケット矯正装置、下顎にマルチブラケット装置(ハーフリンガル)
●抜歯部位
上顎左右第一小臼歯2本
●治療期間
2年7ヶ月
●治療費用
約113万円(ともに税込、調整費、保定費まで含む総額制)
●付記●
上顎小臼歯を2本抜歯して出っ歯を引っ込めました。
リスクとして、
① 歯を動かすことにより歯根が吸収して短くなることがあります。
② 様々な問題により、当初予定した治療計画を変更する可能性があります。
③ 装置が外れた後、保定装置を指示通り使用しないと後戻りが生じる可能性が高くなります。






