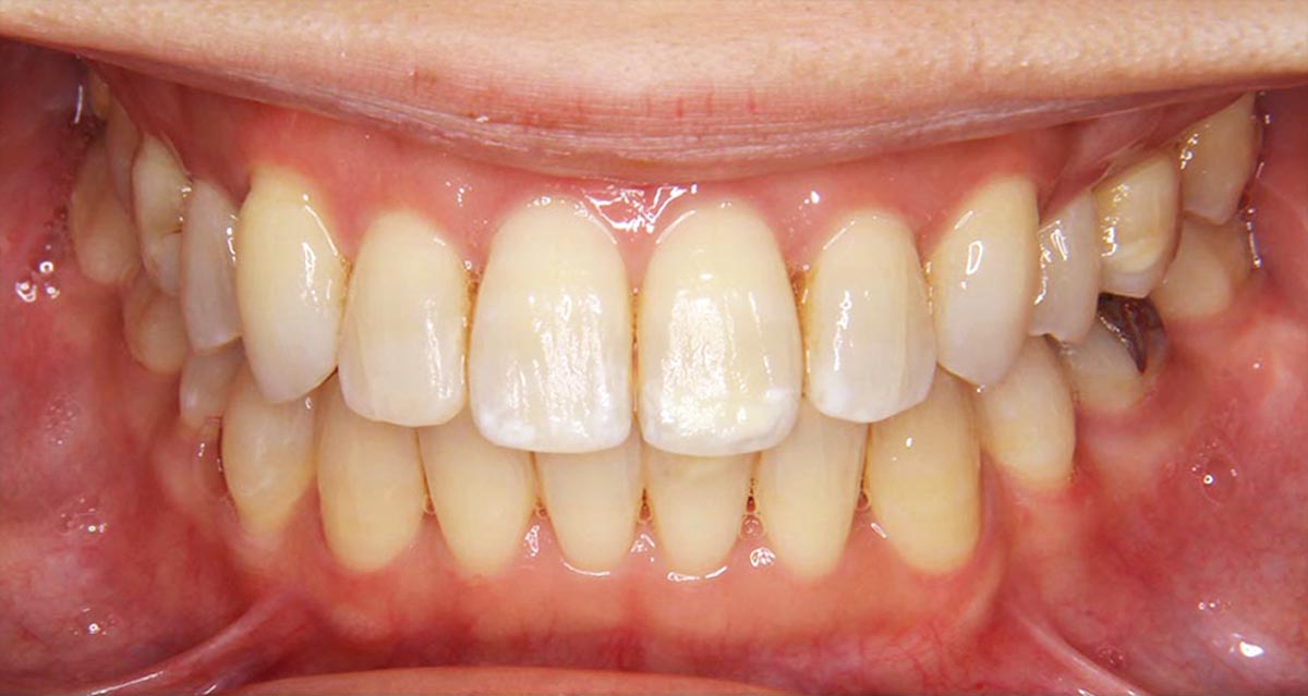
アップル歯列矯正歯科 ホーム 治療例 叢生(デコボコ)症例 2020.6.8 叢生(デコボコ)症例 自分に合った症例を選択する パソコンの場合は右側、スマホの場合はページ下部表⽰の「カテゴリ」で、症例毎の表⽰が可能です。 「カテゴリ」に移動する 叢生(デコボコ)症例 30歳女性●主訴 歯のデコボコが気になる ●診断 AngleⅠ級・前歯部叢生 ●治療に用いた主な装置 上下顎にマルチブラケット装置(表側装置) ●抜歯部位 上下左側第一小臼歯2本 ●治療期間 3年 ●付記歯列が狭く、生まれつきの欠損歯もあり、叢生(デコボコ)がきつい症例でしたので、拡大して小臼歯を2本抜歯しました。リスクとして、デコボコの再発がありますのでワイヤーで固定し、さらにマウスピースを夜間使用していただきます。 前の症例 次の症例 カテゴリー 症例名 叢生(デコボコ)(40) 上顎前突(出っ歯)+デコボコ症例(1) 症例名 上顎前突(出っ歯)(28) 下顎前突(反対咬合)症例(1) 症例名 下顎前突(反対咬合)(5) 症例名 開咬(オープンバイト)(8) 症例名 上下顎前突(10) 症例名 上顎前突(出っ歯)+開咬(オープンバイト)症例(2) 症例名 過蓋咬合(ディープバイト)(1) 症例名 上顎前突(出っ歯)+叢生(デコボコ)症例(2) 症例名 空隙歯列(スペースアーチ)(1) 症例名 下顎側方偏位(1)