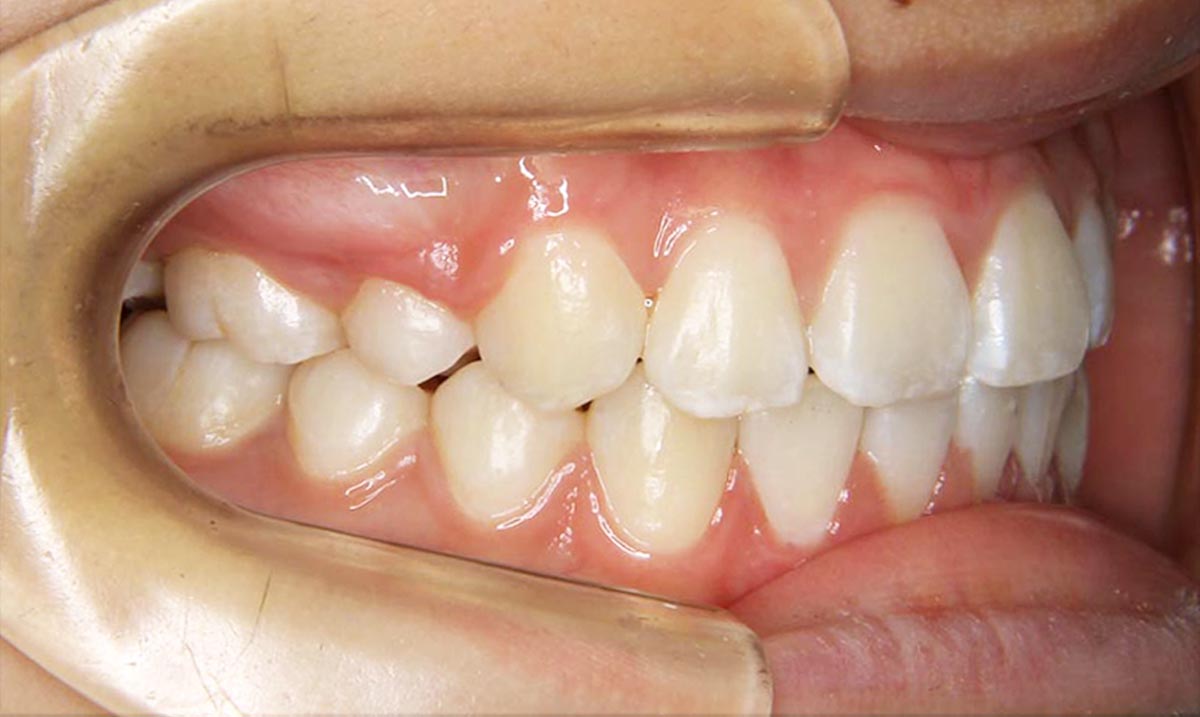
アップル歯列矯正歯科 ホーム 治療例 叢生(デコボコ)症例 2020.6.17 叢生(デコボコ)症例 自分に合った症例を選択する パソコンの場合は右側、スマホの場合はページ下部表⽰の「カテゴリ」で、症例毎の表⽰が可能です。 「カテゴリ」に移動する 叢生(デコボコ)症例 15歳女性●主訴 出っ歯が気になる ●診断 AngleⅠ級・上下顎前突 ●治療に用いた主な装置 上下顎にマルチブラケット装置(表側装置) ●抜歯部位 上顎左右第一小臼歯2本 ●治療期間 2年1ヶ月 ●治療費用 約94万円(ともに税込、調整費、保定費まで含む総額制) ●付記デコボコを主訴に来院されましたが、出っ歯でもあったため、上顎のみ2本抜歯の治療になりました。リスクとしては、あともどりがありますので、しっかりとリテーナーを長期間入れる必要があります。 前の症例 次の症例 カテゴリー 症例名 叢生(デコボコ)(40) 上顎前突(出っ歯)+デコボコ症例(1) 症例名 上顎前突(出っ歯)(28) 下顎前突(反対咬合)症例(1) 症例名 下顎前突(反対咬合)(5) 症例名 開咬(オープンバイト)(8) 症例名 上下顎前突(10) 症例名 上顎前突(出っ歯)+開咬(オープンバイト)症例(2) 症例名 過蓋咬合(ディープバイト)(1) 症例名 上顎前突(出っ歯)+叢生(デコボコ)症例(2) 症例名 空隙歯列(スペースアーチ)(1) 症例名 下顎側方偏位(1)