上顎前突(出っ歯)症例 治療例(記事)|矯正治療ならアップル歯列矯正歯科 自由が丘

お問い合わせ・
資料請求
初診カウンセリングのご予約はこちら

治療例 case

上顎前突(出っ歯)症例

自分に合った症例を選択する

パソコンの場合は右側、スマホの場合はページ下部表⽰の「カテゴリ」で、症例毎の表⽰が可能です。

「カテゴリ」に移動する
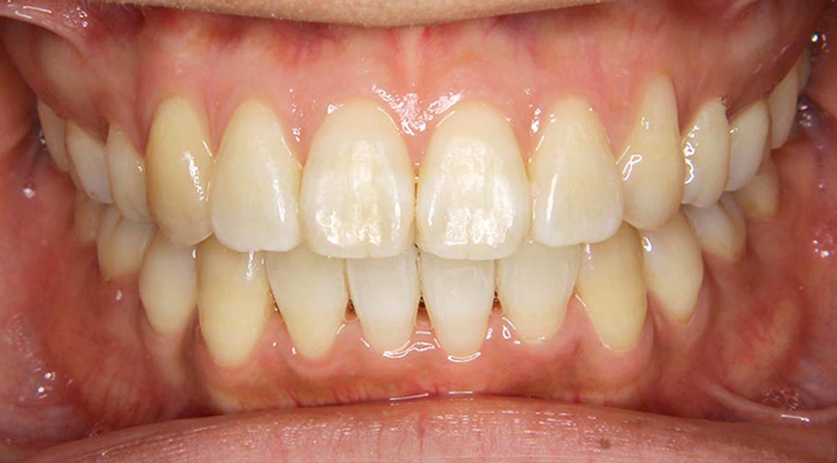
上顎前突(出っ歯)症例 38歳女性

●主訴

出っ歯が気になる

 

●診断

AngleⅠ級・前歯部叢生

 

●治療に用いた主な装置

上下顎にマルチブラケット装置(表側装置)

 

●抜歯部位

上顎右第一小臼歯、下顎左右第一小臼歯合計3本

 

●治療期間

29ヶ月

 

●治療費用

92万円(ともに税込、調整費、保定費まで含む総額制)

 

●付記

上顎の前歯正中線が左に寄ってしまっていたので、上顎は右側小臼歯のみの抜歯となりました。
1本の抜歯でも前突間は大きく改善することができました。
リスクとして、あともどりがありますのでしっかりリテーナーを入れる必要があります。